Promotional price valid on web orders only. Your contract pricing may differ. Interested in signing up for a dedicated account number?
Learn More
Learn More
Invitrogen™ CTLA-4 (CD152) Polyclonal Antibody

Rabbit Polyclonal Antibody
Supplier: Invitrogen™ PA579090
Description
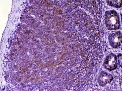
Reconstitute with 0.2 mL of distilled water to yield a concentration of 500 μg/mL. Positive Control - WB: mouse NIH3T3 whole cell. IHC: mouse spleen tissue, rat lymphaden tissue, rat spleen tissue.
CTLA4 (Cytotoxic T-Lymphocyte Antigen 4) is a CD28-family receptor expressed on mainly CD4+ T cells. It binds the same ligands as CD28 (CD80 and CD86 on B cells and dendritic cells), but with higher affinity than CD28. However, in contrast to CD28 which enhances cell function when bound at the same time as the T cell receptor, CTLA4 inhbits the T cell and prevents it from functioning. Intracellular CTLA4 is also found in regulatory T cells and may be important to their function.
Specifications
| CTLA-4 (CD152) | |
| Polyclonal | |
| Unconjugated | |
| CTLA4 | |
| ALPS5; CD; CD152; CD152 antigen; CD152 isoform; CD152 protein; CD152 protein precursor; celiac disease 3; CELIAC3; Ctla4; CTLA-4; cytotoxic T lymphocyte associated antigen 4 short spliced form; cytotoxic T-lymphocyte associated protein 4; cytotoxic T-lymphocyte protein 4; cytotoxic T-lymphocyte protein 4 isoform CTLA4-TM; cytotoxic T-lymphocyte-associated antigen 4; cytotoxic T-lymphocyte-associated protein 4; cytotoxic T-lymphocyte-associated serine esterase-4; EGK_04712; GRD4; GSE; ICOS; IDDM12; insulin-dependent diabetes mellitus 12; ligand and transmembrane spliced cytotoxic T lymphocyte associated antigen 4; Ly-56; sCTLA4; soluble form; transmembrane form | |
| Rabbit | |
| Antigen affinity chromatography | |
| RUO | |
| 12477, 63835 | |
| -20°C | |
| Lyophilized |
| ELISA, Immunohistochemistry (Paraffin), Western Blot | |
| 500 μg/mL | |
| PBS with 4mg trehalose and no preservative | |
| P09793 | |
| CTLA4 | |
| E. coli-derived mouse CTLA4 recombinant protein (Position: E36-D161). | |
| 100 μg | |
| Primary | |
| Mouse, Rat | |
| Antibody | |
| IgG |
Product Content Correction
Your input is important to us. Please complete this form to provide feedback related to the content on this product.
Product Title
Spot an opportunity for improvement?Share a Content Correction