Learn More
Invitrogen™ CTNNBL1 Monoclonal Antibody (1E4F5)

Description
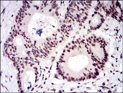
MA5-31708 has been tested in indirect ELISA.
Specifications
Specifications
| Antigen | CTNNBL1 |
| Applications | ELISA, Flow Cytometry, Immunohistochemistry (Paraffin), Western Blot, Immunocytochemistry |
| Classification | Monoclonal |
| Clone | 1E4F5 |
| Concentration | 1 mg/mL |
| Conjugate | Unconjugated |
| Formulation | PBS with 0.05% sodium azide |
| Gene | CTNNBL1 |
| Gene Accession No. | Q8WYA6 |
| Gene Alias | 5730471K09Rik; beta catenin-like 1; beta-catenin-like protein 1; C20orf33; catenin beta like 1; catenin, beta like 1; CTNNBL1; dJ633O20.1; NAP; nuclear associated protein; nuclear protein NAP; nuclear-associated protein; NYD-SP19; P14L; PP8304; RP5-1118M15.1; Testis development protein NYD-SP19 |
| Show More |
By clicking Submit, you acknowledge that you may be contacted by Fisher Scientific in regards to the feedback you have provided in this form. We will not share your information for any other purposes. All contact information provided shall also be maintained in accordance with our Privacy Policy.