Promotional price valid on web orders only. Your contract pricing may differ. Interested in signing up for a dedicated account number?
Learn More
Learn More
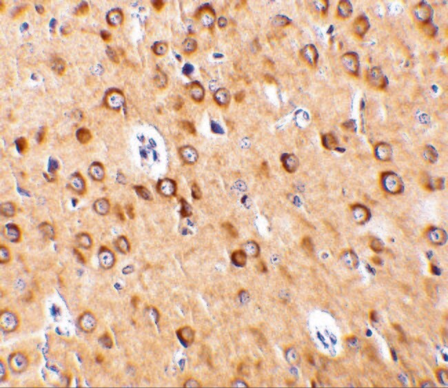
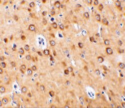
Invitrogen™ CTRP4 Polyclonal Antibody

Rabbit Polyclonal Antibody
Supplier: Invitrogen™ PA520150
Description
A suggested positive control is rat brain tissue lysate. PA5-20150 can be used with blocking peptide PEP-0270.
Adipose tissue of an organism plays a major role in regulating physiologic and pathologic processes such as metabolism and immunity by producing and secreting a variety of bioactive molecules termed adipokines. One highly conserved family of adipokines is adiponectin/ACRP30 and its structural and functional paralogs, the C1q/tumor necrosis factor-alpha-related proteins (CTRPs) 1-7. Unlike adiponectin, which is expressed exclusively by differentiated adipocytes, the CTRPs are expressed in a wide variety of tissues. These proteins are thought to act mainly on liver and muscle tissue to control glucose and lipid metabolism. An analysis of the crystal structure of adiponectin revealed a structural and evolutionary link between TNF and C1q-containing proteins, suggesting that these proteins arose from a common ancestral innate immunity gene. Multiple isoforms of mouse CTRP4 have been reported.
Specifications
CTRP4 | |
Polyclonal | |
Unconjugated | |
C1QTNF4 | |
0710001E10Rik; 9430004J15Rik; C1q and tumor necrosis factor related protein 4; C1q/TNF-related protein 4; C1QTNF4; Complement C1q tumor necrosis factor-related protein 4; complement-c1q tumor necrosis factor-related protein 4; Ctrp4; ZACRP4 | |
Rabbit | |
Antigen Affinity Chromatography | |
RUO | |
114900, 311184, 67445 | |
Maintain refrigerated at 2-8°C for up to 3 months. For long term storage store at -20°C | |
Liquid |
Immunohistochemistry, Western Blot, Immunocytochemistry | |
1 mg/mL | |
PBS with 0.02% sodium azide | |
Q8R066, Q9BXJ3 | |
C1QTNF4 | |
A 16 amino acid peptide from near the carboxy terminus of human CTRP4. | |
100 μg | |
Primary | |
Human, Mouse, Rat | |
Antibody | |
IgG |
Product Content Correction
Your input is important to us. Please complete this form to provide feedback related to the content on this product.
Product Title
Spot an opportunity for improvement?Share a Content Correction