Promotional price valid on web orders only. Your contract pricing may differ. Interested in signing up for a dedicated account number?
Learn More
Learn More
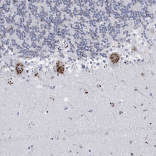
Invitrogen™ CU070 Polyclonal Antibody

Rabbit Polyclonal Antibody
Supplier: Invitrogen™ PA557624
Description
Immunogen sequence: AFINTNIFAR TKIDPSALVQ KLELDVRSVT SVRRGEAGSS ARSVPSIRRG AEAKTVLPKK EKMKL Highest antigen sequence identity to the following orthologs: Mouse - 54%, Rat - 52%.

Specifications
CU070 | |
Polyclonal | |
Unconjugated | |
FAM207A | |
1810008A18Rik; AI303072; C21orf70; Fam207a; family with sequence similarity 207 member A; family with sequence similarity 207, member A; PRED56; Protein FAM207A | |
Rabbit | |
Antigen Affinity Chromatography | |
RUO | |
85395 | |
Store at 4°C short term. For long term storage, store at -20°C, avoiding freeze/thaw cycles. | |
Liquid |
Immunohistochemistry (Paraffin), Western Blot, Immunocytochemistry | |
0.2 mg/mL | |
PBS with 40% glycerol and 0.02% sodium azide; pH 7.2 | |
Q9NSI2 | |
FAM207A | |
Recombinant protein corresponding to Human CU070. Recombinant protein control fragment (Product #RP-95894). | |
100 μL | |
Primary | |
Human | |
Antibody | |
IgG |
Safety and Handling
WARNING: Cancer - www.P65Warnings.ca.gov
Product Content Correction
Your input is important to us. Please complete this form to provide feedback related to the content on this product.
Product Title
Spot an opportunity for improvement?Share a Content Correction