Promotional price valid on web orders only. Your contract pricing may differ. Interested in signing up for a dedicated account number?
Learn More
Learn More
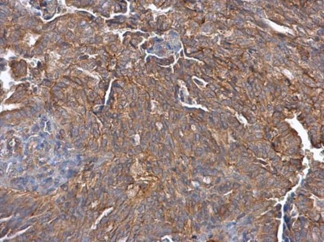
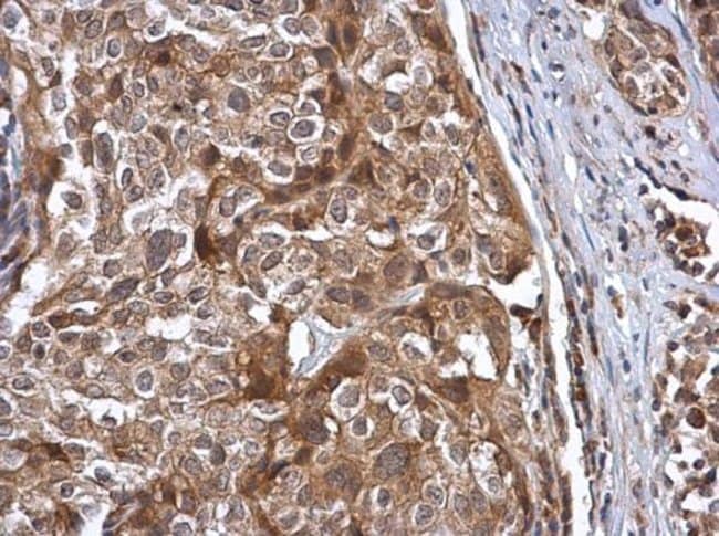
Invitrogen™ Cullin 7 Polyclonal Antibody

Rabbit Polyclonal Antibody
Supplier: Invitrogen™ PA522313
Description
Recommended positive controls: H1299, HeLa, HepG2, Molt-4, Raji. Store product as a concentrated solution. Centrifuge briefly prior to opening the vial.
The protein encoded by this gene is a component of an E3 ubiquitin-protein ligase complex. The encoded protein interacts with TP53, CUL9, and FBXW8 proteins. Defects in this gene are a cause of 3M syndrome type 1 (3M1). Two transcript variants encoding different isoforms have been found for this gene.
Specifications
Cullin 7 | |
Polyclonal | |
Unconjugated | |
CUL7 | |
2510004L20Rik; 3M1; AA409809; C230011P08Rik; CUL7; CUL-7; cullin 7; cullin-7; dJ20C7.5; KIAA0076; p185; p193 | |
Rabbit | |
Antigen affinity chromatography | |
RUO | |
9820 | |
Store at 4°C short term. For long term storage, store at -20°C, avoiding freeze/thaw cycles. | |
Liquid |
Immunohistochemistry (Paraffin), Immunoprecipitation, Western Blot, Immunocytochemistry | |
0.84 mg/mL | |
0.1M tris glycine with 20% glycerol and 0.01% thimerosal; pH 7 | |
Q14999 | |
CUL7 | |
Recombinant protein encompassing a sequence within the C-terminus region of human Cullin 7. The exact sequence is proprietary. | |
100 μL | |
Primary | |
Human | |
Antibody | |
IgG |
Safety and Handling
WARNING: Cancer - www.P65Warnings.ca.gov
Product Content Correction
Your input is important to us. Please complete this form to provide feedback related to the content on this product.
Product Title
Spot an opportunity for improvement?Share a Content Correction