Promotional price valid on web orders only. Your contract pricing may differ. Interested in signing up for a dedicated account number?
Learn More
Learn More
Invitrogen™ CX3CR1 Polyclonal Antibody

Rabbit Polyclonal Antibody
Supplier: Invitrogen™ PA519910
Description
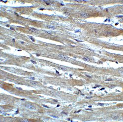
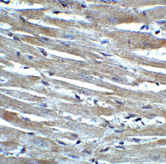
In Western blot applications, this antibody detects a band at ~50kDa. A suggested positive control is human spleen tissue lysate. PA5-19910 can be used with blocking peptide PEP-0036.
CX3CR1 is one of the chemokine receptors that are required as coreceptors for HIV infection. The genes encoding human, mouse, and rat CX3CR1 were cloned and designated V28 and CMKBRL1, CX3CR1, and RBS11, respectively. The encoded seven transmembrane protein was recently identified as the receptor for a novel transmembrane molecule, fractalkine, and renamed CX3CR1. Recently, CX3CR1 was found to serve as a coreceptor for HIV-1 and HIV-2 envelope fusion and virus infection, which can be inhibited by fractokine. CX3CR1 mediates leukocyte migration an d adhesion. CX3CR1 is expressed in a variety of human tissues and cell lines.
Specifications
CX3CR1 | |
Polyclonal | |
Unconjugated | |
CX3CR1 | |
Beta chemokine receptor-like 1; CCRL1; chemokine (C-C) receptor-like 1; chemokine (C-X3-C motif) receptor 1; chemokine (C-X3-C) receptor 1; CMKBRL1; CMK-BRL1; CMK-BRL-1; CMKDR1; Cx3c; CX3C chemokine receptor 1; C-X3-C CKR-1; C-X3-C motif chemokine receptor 1; Cx3cr1; Fractalkine receptor; G protein-coupled receptor 13; GPR13; G-protein coupled receptor 13; GPRV28; RBS11; Scyd1; V28 | |
Rabbit | |
Antigen affinity chromatography | |
RUO | |
1524 | |
Maintain refrigerated at 2°C to 8°C for up to 3 months. For long term storage store at -20°C | |
Liquid |
Flow Cytometry, Immunohistochemistry (Paraffin), Immunohistochemistry (PFA fixed), Western Blot, Immunocytochemistry | |
1 mg/mL | |
PBS with 0.02% sodium azide | |
P49238 | |
CX3CR1 | |
A peptide corresponding to amino acids 2 to 21 of human CX3CR1. | |
100 μg | |
Primary | |
Human | |
Antibody | |
IgG |
Product Content Correction
Your input is important to us. Please complete this form to provide feedback related to the content on this product.
Product Title
Spot an opportunity for improvement?Share a Content Correction