Promotional price valid on web orders only. Your contract pricing may differ. Interested in signing up for a dedicated account number?
Learn More
Learn More
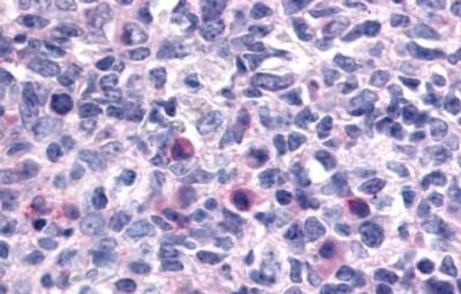
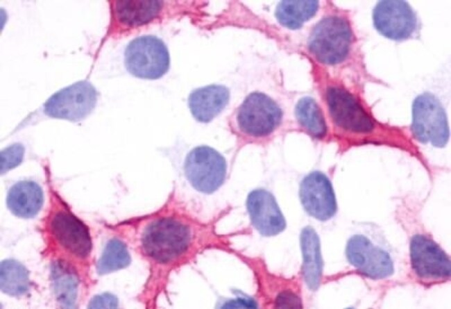
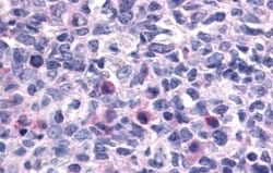
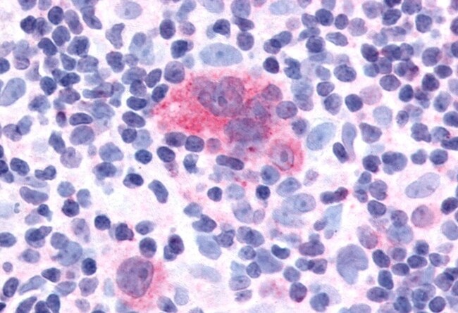
Invitrogen™ CXCR1 Polyclonal Antibody

Rabbit Polyclonal Antibody
Supplier: Invitrogen™ PA533452
Description
Percent identity with other species by BLAST analysis: Human (100%) Gorilla (95%) Chimpanzee (90%) Monkey (80%).
CXCR1 is a member of the G-protein-coupled receptor family. This protein is a receptor for interleukin 8 (IL8). It binds to IL8 with high affinity, and transduces the signal through a G-protein activated second messenger system. Knockout studies in mice suggested that this protein inhibits embryonic oligodendrocyte precursor migration in developing spinal cord. This gene, IL8RB, a gene encoding another high affinity IL8 receptor, as well as IL8RBP, a pseudogene of IL8RB, form a gene cluster in a region mapped to chromosome 2q33-q36.
Specifications
| CXCR1 | |
| Polyclonal | |
| Unconjugated | |
| CXCR1 | |
| C Cmotif chemokine; C X C motif chemokine; C-C; CC motif chemokine; C-C-CKR-1; CCmotif chemokine; CD128; CD181; CDw128a; chemokine (C-X-C motif) receptor 1; CKR-1; CMKAR1; CXC; CXC chemokine receptor 1; C-X-C chemokine receptor type 1; CXC motif chemokine; C-X-C motif chemokine receptor 1; CXCR1; CXC-R1; CXCR-1; High affinity interleukin-8 receptor A; IL-8 receptor; IL-8 Receptor alpha; IL-8 Receptor IL-RA; IL-8 receptor type 1; IL-8R A; IL8R1; Il8ra; IL8RBA; IL-RA; interleukin 8 receptor; interleukin 8 receptor alpha; interleukin 8 receptor, alpha; interleukin-8 receptor type 1; interleukin-8 receptor type A | |
| Rabbit | |
| Antigen affinity chromatography | |
| RUO | |
| 3577 | |
| Store at 4°C short term. For long term storage, store at -20°C, avoiding freeze/thaw cycles. | |
| Liquid |
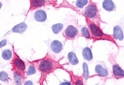
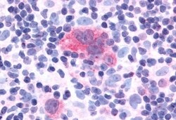
| Immunohistochemistry (Paraffin), Immunocytochemistry | |
| 1 mg/mL | |
| PBS with 0.1% sodium azide | |
| P25024 | |
| CXCR1 | |
| Synthetic 20 amino acid peptide from N-terminal extracellular domain of human CXCR1. | |
| 50 μg | |
| Primary | |
| Human | |
| Antibody | |
| IgG |
Safety and Handling
WARNING: Cancer - www.P65Warnings.ca.gov
Product Content Correction
Your input is important to us. Please complete this form to provide feedback related to the content on this product.
Product Title
Spot an opportunity for improvement?Share a Content Correction