Promotional price valid on web orders only. Your contract pricing may differ. Interested in signing up for a dedicated account number?
Learn More
Learn More
Invitrogen™ CXCR4 Recombinant Rabbit Monoclonal Antibody (HL2424)

Rabbit Recombinant Monoclonal Antibody
Supplier: Invitrogen™ MA550525
Description
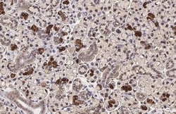
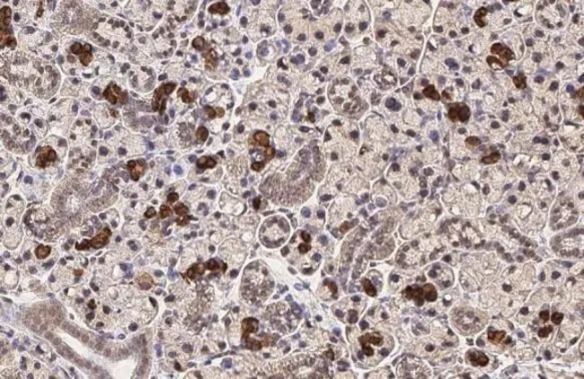
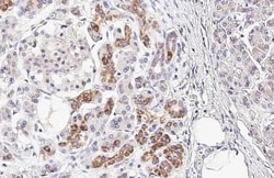
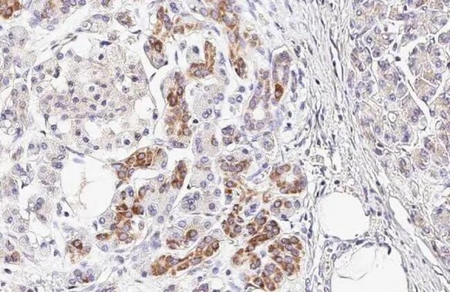
CXCR4 Recombinant Monoclonal Antibody for Western Blot, ICC/IF, IHC (P)
CXCR4 (Fusin, LESTR, HUMSTR) is a member of the G-protein-coupled chemokine receptor family with seven membrane-spanning domains, and functions as a co-receptor for X4 HIV-1 entry into CD4+ cells. CXCR4 has been proved to be the co-receptor for HIV-2's binding to CD4 through envelope glycoprotein gp 120 and promotes Env-mediated fusion of the virus. In other cases, CXCR4 can even function as the only receptor for HIV-2's binding to the CD4 host cells. CXCR4 is the receptor for the C-X-C chemokine CXCL12/SDF-1 that transduces a signal by increasing intracellular calcium ion levels and enhancing MAPK1/MAPK3 activation. CXCR4 acts as a receptor for extracellular ubiquitin; leading to enhanced intracellular calcium ions and reduced cellular cAMP levels. Also, CXCR4 is involved in hematopoiesis and in cardiac ventricular septum formation, and plays an essential role in vascularization of the gastrointestinal tract, probably by regulating vascular branching and/or remodeling processes in endothelial cells. In the CNS, CXCR4 could mediate hippocampal-neuron survival and is involved in cerebellar development. CXCR4 binds bacterial lipopolysaccharide (LPS) and mediates LPS-induced inflammatory response, including TNF secretion by monocytes. Antibodies to CXCR4 block HIV-1 and HIV-2 fusion and infection of human target cells. The amino-terminal domain and the second extracellular loop of CXCR4 serve as HIV biding sites.
Specifications
CXCR4 | |
Recombinant Monoclonal | |
1 mg/mL | |
PBS with no preservative | |
P61073 | |
Cxcr4 | |
Synthetic peptide of human CXCR4. | |
100 μL | |
Primary | |
Human | |
Antibody | |
IgG |
Immunohistochemistry (Paraffin), Western Blot, Immunocytochemistry | |
HL2424 | |
Unconjugated | |
Cxcr4 | |
b2b220Clo; C Cmotif chemokine; C X C motif chemokine; CC motif chemokine; CCmotif chemokine; CD antigen CD184; CD184; CD184 antigen; chemokine (C-X-C motif) receptor 4; chemokine (C-X-C) receptor 4; chemokine receptor; chemokine receptor (LCR1); chemokine receptor 4; chemokine receptor CXCR4; Cmkar4; CXC; CXC chemokine receptor; C-X-C chemokine receptor type 4; CXC motif chemokine; C-X-C motif chemokine receptor 4; CXCR4; CXC-R4; CXCR-4; D2S201E; FB22; Fusin; HM89; HSY3RR; HUMSTR; LAP3; LAP-3; LCR1; LESTR; Leukocyte-derived seven transmembrane domain receptor; leukocyte-expressed seven-transmembrane-domain; lipopolysaccharide-associated protein 3; LPS-associated protein 3; neuropeptide Y receptor Y3; neuropeptide Y3 receptor; NPY3R; NPYR; NPYRL; NPYY3R; PB-CKR; PBSF/SDF-1; pre-B-cell-derived chemokine receptor; SDF-1 receptor; Sdf1r; seven transmembrane helix receptor; seven-transmembrane-segment receptor, spleen; stromal cell-derived factor 1 receptor; WHIM; WHIMS | |
Rabbit | |
Protein A | |
RUO | |
7852 | |
Store at 4°C short term. For long term storage, store at -20°C, avoiding freeze/thaw cycles. | |
Liquid |
Product Content Correction
Your input is important to us. Please complete this form to provide feedback related to the content on this product.
Product Title
Spot an opportunity for improvement?Share a Content Correction