Promotional price valid on web orders only. Your contract pricing may differ. Interested in signing up for a dedicated account number?
Learn More
Learn More
CYB5R3 Monoclonal Antibody (OTI2A10), TrueMAB™, OriGene

Mouse Monoclonal Antibody
Supplier: OriGene TA501353
Description
CYB5R3 (NADH-cytochrome b5, reductase 3, diaphorase 1) is a 301 amino acid protein encoded by the human gene CYB5R3. CYB5R3 belongs to the flavoprotein pyridine nucleotide cytochrome reductase family and has two naturally occuring isoforms. Isoform 1 is anchored to the cytoplasmic side of the endoplasmic reticulum membrane and mitochondrion outer membrane,while isoform 2 is the soluble form found in erythrocytes. CYB5R3 is involved in the desaturation and elongation of fatty acids, cholesterol biosynthesis,drug metabolism and, in erythrocytes, methemoglobin reduction.Specifications
| CYB5R3 | |
| Monoclonal | |
| 0.76 mg/mL | |
| PBS with 1% BSA, 50% glycerol and 0.02% sodium azide | |
| P00387, Q0X0E5 | |
| CYB5R3 | |
| Full length human recombit protein of human CYB5R3 produced in HEK293T cell. | |
| 100 μL | |
| Primary | |
| Canine, Human | |
| Antibody | |
| IgG2b |
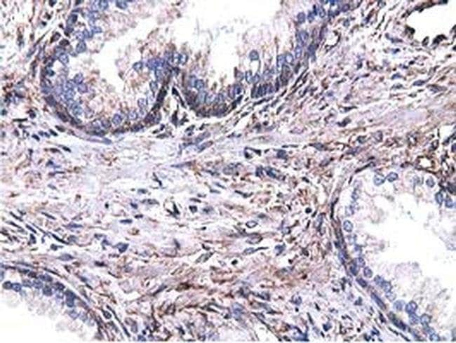
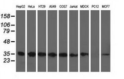
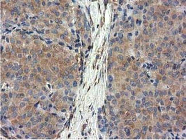
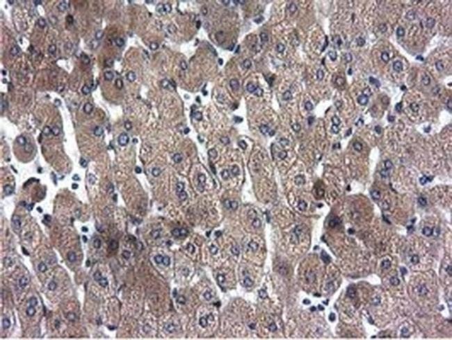
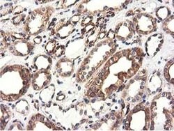
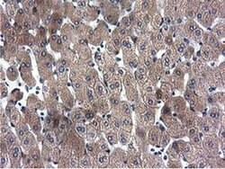
| Flow Cytometry, Immunohistochemistry (Paraffin), Western Blot | |
| OTI2A10 | |
| Unconjugated | |
| CYB5R3 | |
| B5R, DIA1 | |
| Mouse | |
| Affinity Chromatography | |
| RUO | |
| 1727, 474479 | |
| -20° C, Avoid Freeze/Thaw Cycles | |
| Liquid |
Product Content Correction
The Fisher Scientific Encompass Program offers items which are not part of our distribution portfolio. These products typically do not have pictures or detailed descriptions. However, we are committed to improving your shopping experience. Please use the form below to provide feedback related to the content on this product.
Product Title
Spot an opportunity for improvement?Share a Content Correction