Learn More
CYB5R3 Mouse anti-Canine, Human, Clone: OTI2A10, lyophilized, TrueMAB™

Mouse Monoclonal Antibody
Supplier: OriGene CF501353

Description
Reconstitute with PBS (pH 7.3) and recommend to perform another round of desalting process using Product No. 7KMWCO
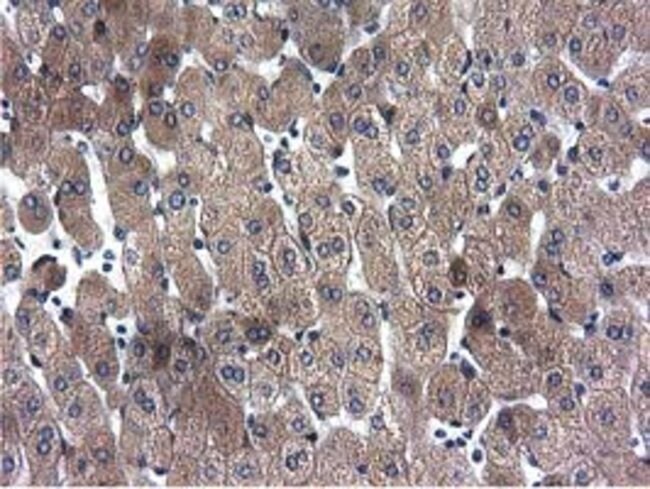
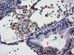
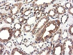
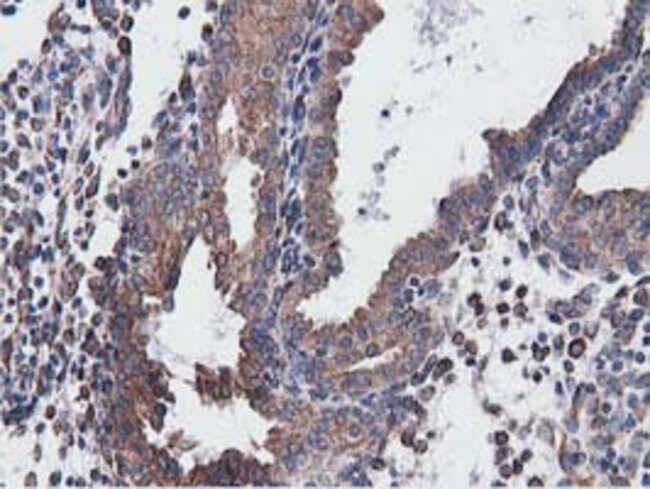
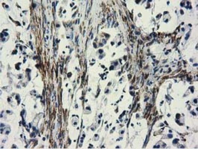
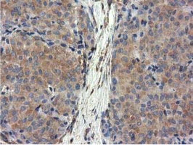
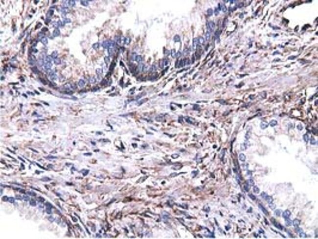
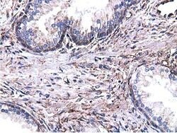
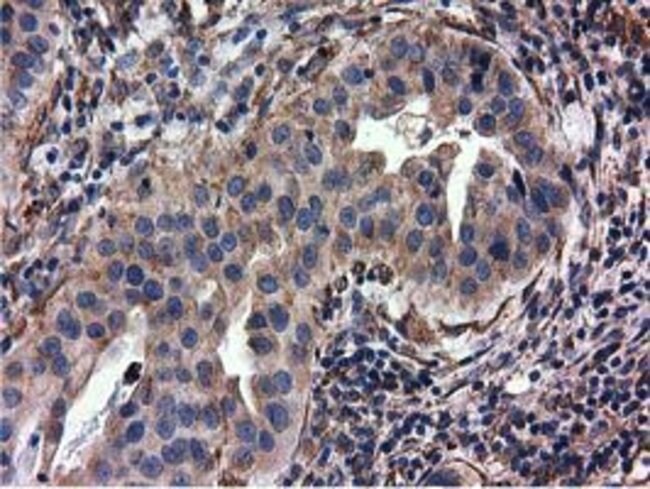
CYB5R3 (NADH-cytochrome b5, reductase 3, diaphorase 1) is a 301 amino acid protein encoded by the human gene CYB5R3. CYB5R3 belongs to the flavoprotein pyridine nucleotide cytochrome reductase family and has two naturally occuring isoforms. Isoform 1 is anchored to the cytoplasmic side of the endoplasmic reticulum membrane and mitochondrion outer membrane,while isoform 2 is the soluble form found in erythrocytes. CYB5R3 is involved in the desaturation and elongation of fatty acids, cholesterol biosynthesis,drug metabolism and, in erythrocytes, methemoglobin reduction.Specifications
CYB5R3 | |
Monoclonal | |
Unconjugated | |
CYB5R3 | |
B5R, DIA1 | |
Mouse | |
Affinity Chromatography | |
RUO | |
1727, 474479 | |
-20° C, Avoid Freeze/Thaw Cycles | |
Lyophilized |
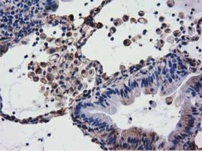
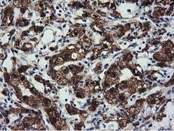
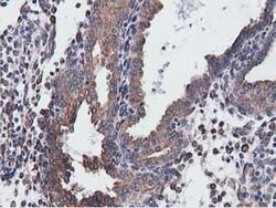
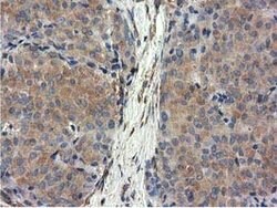
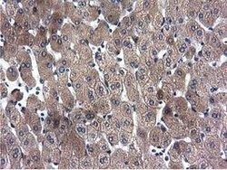
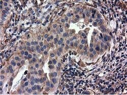
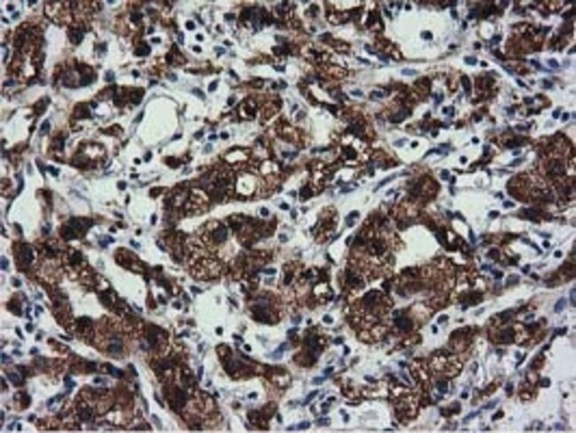
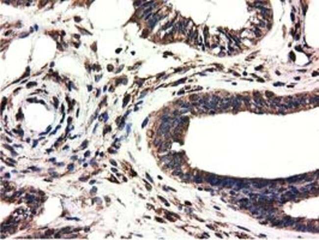
Flow Cytometry, Immunohistochemistry (Paraffin), Western Blot | |
OTI2A10 | |
PBS with 8% trehalose and no preservative; pH 7.3 | |
P00387, Q0X0E5 | |
CYB5R3 | |
Full length human recombit protein of human CYB5R3 produced in HEK293T cell. | |
100 μg | |
Primary | |
Canine, Human | |
Antibody | |
IgG2b |
The Fisher Scientific Encompass Program offers items which are not part of our distribution portfolio. These products typically do not have pictures or detailed descriptions. However, we are committed to improving your shopping experience. Please use the form below to provide feedback related to the content on this product.