Promotional price valid on web orders only. Your contract pricing may differ. Interested in signing up for a dedicated account number?
Learn More

Cyclin D3 Polyclonal Antibody, Invitrogen™

Rabbit Polyclonal Antibody

Supplier:  Thermo Scientific PA577891

Catalog No. PIPA577891


Description

Description

Predicted Reactivity: Pig (97%), Sheep (99%), Rhesus Monkey (100%), Bovine (99%) Store product as a concentrated solution. Centrifuge briefly prior to opening the vial. For short-term storage (1-2 weeks), product can be stored at 4°C. For long-term storage, aliquot and store product at -20° C or below, avioiding multiple freeze-thaw cycles.

Cyclin D3 is a regulatory component of the cyclin D3-CDK4 (DC) complex that phosphorylates and inhibits members of the retinoblastoma (RB) protein family including RB1 and regulates the cell-cycle during G(1)/S transition. Phosphorylation of RB1 allows dissociation of the transcription factor E2F from the RB/E2F complex and the subsequent transcription of E2F target genes which are responsible for the progression through the G(1) phase. Hypophosphorylates RB1 in early G(1) phase. Cyclin D-CDK4 complexes are major integrators of various mitogenenic and antimitogenic signals. Also substrate for SMAD3, phosphorylating SMAD3 in a cell-cycle-dependent manner and repressing its transcriptional activity. Component of the ternary complex, cyclin D3/CDK4/CDKN1B, required for nuclear translocation and activity of the cyclin D-CDK4 complex.
TRUSTED_SUSTAINABILITY
Specifications

Specifications

Cyclin D3
Polyclonal
Unconjugated
CCND3
CCND3, G1/S-specific cyclin-D3, G1/S-specific cyclin D3, D3-type cyclin, cyclin D3
Rabbit
Antigen affinity chromatography
RUO
12445, 25193, 896
Store at 4°C short term. For long term storage, store at -20°C, avoiding freeze/thaw cycles.
Liquid
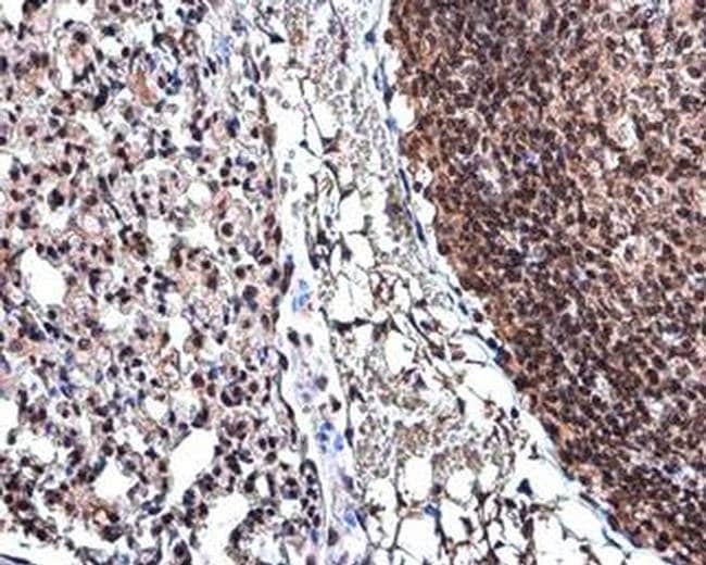
Immunocytochemistry, Immunofluorescence, Immunohistochemistry (Paraffin), Western Blot
1 mg/ml
PBS with 1% BSA, 20% glycerol and 0.01% thimerosal; pH 7
P30281, P30282, P48961
Ccnd3
Recombit protein encompassing a sequence within the center region of human Cyclin D3. The exact sequence is proprietary.
100 μL
Primary
Human, Mouse, Rat
Antibody
IgG
Product Suggestions

Product Suggestions

Videos
SDS
Documents

Documents

Product Certifications
Promotions

Promotions

Product Content Correction

Your input is important to us. Please complete this form to provide feedback related to the content on this product.

Product Title

By clicking Submit, you acknowledge that you may be contacted by Fisher Scientific in regards to the feedback you have provided in this form. We will not share your information for any other purposes. All contact information provided shall also be maintained in accordance with our Privacy Policy.

Your feedback has been submitted: Thank you for helping us improve our website.