Learn More
Invitrogen™ Cyclophilin A Polyclonal Antibody

Rabbit Polyclonal Antibody
Supplier: Invitrogen™ PA528089
Description
Recommended positive controls: HepG2, Raji WCE, Raji C+M, Raji NE, mouse brain. Predicted reactivity: Mouse (100%), Rat (100%), Cat (100%), Pig (100%), Sheep (100%), Rhesus Monkey (100%). Store product as a concentrated solution. Centrifuge briefly prior to opening the vial.
Immunophilins are a family of soluble cytosolic receptors capable of binding to one of two major immunosuppressant agents - cyclosporin A (CsA) or FK506. Proteins that bind FK506 are termed FK506 Binding Proteins (FKBPs) and those that bind cyclosporin A are called cyclophilins (CyP). Both CyP:CsA and FKBP:FK506 complexes have been shown to inhibit calcineurin, a calcium and calmodulin dependent protein phosphatase which has been implicated as an important signaling enzyme in T-cell activation, providing a possible mechanism of immunosuppression by CsA and FK506. Immunophilins function as peptidyl prolyl cis-trans-isomerases (PPIase) whose activity is inhibited by their respective immunosuppressant compounds. As PPIase's, immunophilins accelerate folding of some proteins both in vivo and in vitro by catalyzing slow steps in the initial folding and rearrangement of proline containing proteins. Within the cyclophilin family, there are several different proteins which show a high degree of homology including CyPA, CyPB and CyPC. CyPA, also termed CyP-18, is the most abundant and ubiquitous cyclophilin found in all vertebrate tissues and is present in T-cells.
Specifications
Cyclophilin A | |
Polyclonal | |
Unconjugated | |
Ppia | |
2700098C05; Cphn; CYCA; cyclophilin; Cyclophilin A; Cyclosporin A-binding protein; CyP A; CyP-18; CYPA; CyP-A; CYPH; EC 5.2.1.8; epididymis secretory sperm binding protein Li 69p; HEL-S-69p; HGNC:9253; I79_011869; MGC117158; MGC12404; MGC23397; p1B15; p31; Peptidyl-prolyl cis-trans isomerase A; Peptidyl-prolyl cis-trans isomerase A, N-terminally processed; peptidylprolyl isomerase A; peptidylprolyl isomerase A (cyclophilin A); PPIA; PPIase; PPIase A; rotamase; rotamase A; SP18; T cell cyclophilin | |
Rabbit | |
Antigen affinity chromatography | |
RUO | |
100769490, 25518, 268373, 5478 | |
Store at 4°C short term. For long term storage, store at -20°C, avoiding freeze/thaw cycles. | |
Liquid |
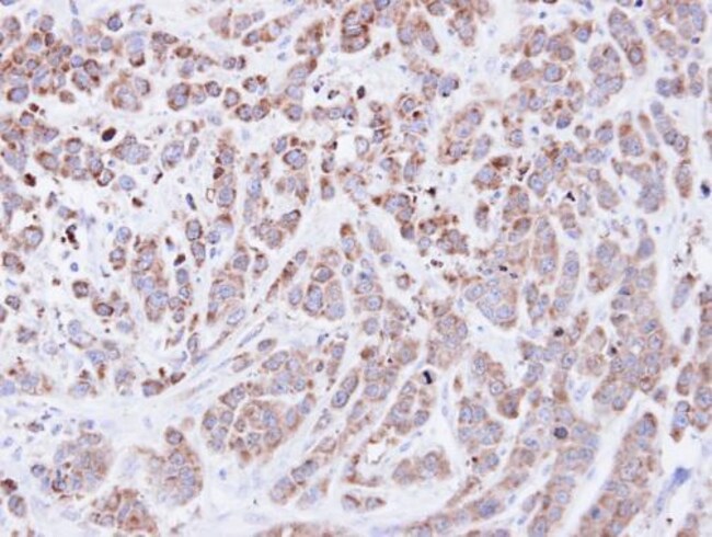
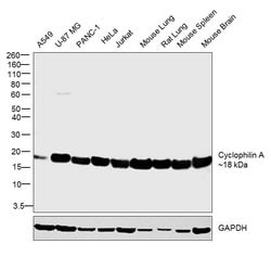
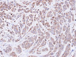
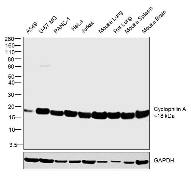
Immunohistochemistry (Paraffin), Western Blot, Immunocytochemistry | |
1 mg/mL | |
0.1M tris glycine with 20% glycerol and 0.01% thimerosal; pH 7 | |
P10111, P14851, P17742, P62937 | |
Ppia | |
Carrier-protein conjugated synthetic peptide encompassing a sequence within the C-terminus region of human Cyclophilin A. The exact sequence is proprietary. | |
100 μL | |
Primary | |
Hamster, Human, Mouse, Rat | |
Antibody | |
IgG |
Your input is important to us. Please complete this form to provide feedback related to the content on this product.