Promotional price valid on web orders only. Your contract pricing may differ. Interested in signing up for a dedicated account number?
Learn More
Learn More
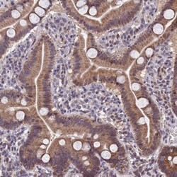
CYP2R1 Antibody, Novus Biologicals™

Rabbit Polyclonal Antibody
Supplier: Novus Biologicals NBP213895
Description
CYP2R1 Polyclonal specifically detects CYP2R1 in Human samples. It is validated for Immunohistochemistry, Immunohistochemistry-Paraffin.Specifications
| CYP2R1 | |
| Polyclonal | |
| Immunohistochemistry 1:500 - 1:1000, Immunohistochemistry-Paraffin 1:500 - 1:1000 | |
| Cytochrome P450 2R1, cytochrome P450, family 2, R1, cytochrome P450, family 2, subfamily R, polypeptide 1, EC 1.14.13.15, MGC4663, vitamin D 25-hydroxylase | |
| Rabbit | |
| Affinity Purified | |
| RUO | |
| Primary | |
| Specificity of antibody verified on a Protein Array containing target protein plus 383 other non-specific proteins. | |
| Store at 4C short term. Aliquot and store at -20C long term. Avoid freeze-thaw cycles. |
| Immunohistochemistry, Immunohistochemistry (Paraffin) | |
| Unconjugated | |
| PBS (pH 7.2) and 40% Glycerol with 0.02% Sodium Azide | |
| CYP2R1 | |
| This antibody was developed against a recombinant protein corresponding to the amino acids: TYEDTDFQHMIELFSENVELAASASVFLYNAFPWIGILPFGKHQQLFRNAAVVYDFLSRLIEKASVNRKPQLPQHFVDAYLDEMDQGKNDPSSTFSKENLIFSVGELIIAGTETTTNVLR | |
| 0.1 mL | |
| Cancer, Cardiovascular Biology, Cellular Signaling, metabolism | |
| 120227 | |
| Human | |
| IgG |
Product Content Correction
Your input is important to us. Please complete this form to provide feedback related to the content on this product.
Product Title
For Research Use Only
Spot an opportunity for improvement?Share a Content Correction