Promotional price valid on web orders only. Your contract pricing may differ. Interested in signing up for a dedicated account number?
Learn More

Invitrogen™ Cytochrome C Polyclonal Antibody
GREENER_CHOICE

Rabbit Polyclonal Antibody

Supplier:  Invitrogen™ PA587380

Catalog No. PIPA587380


Only null left
Add to Cart

Description

Description

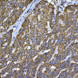
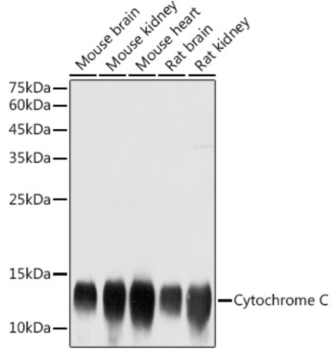
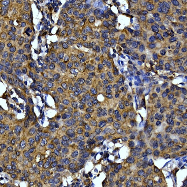
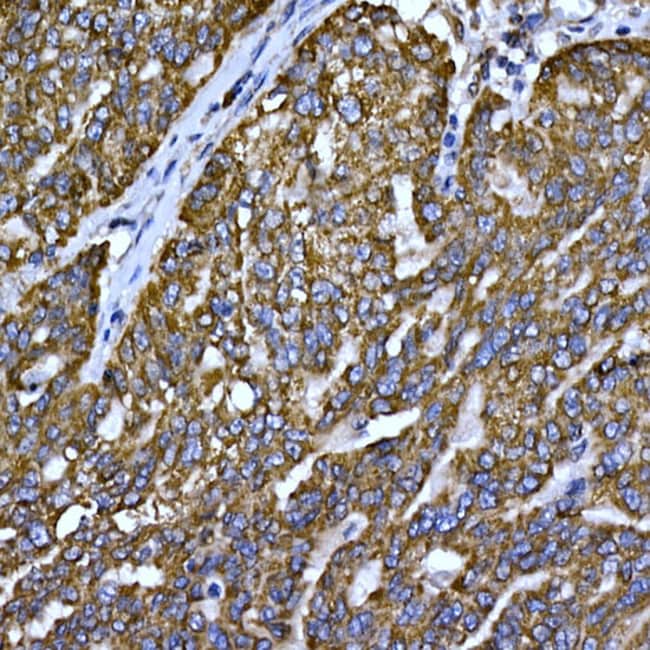
Positive Samples: Mouse heart, Mouse kidney, Rat kidney; Cellular Location: Mitochondrion intermembrane space.

Cytochrome C is an electron transporting protein that resides within the intermembrane space of the mitochondria, where it plays a critical role in oxidative phosphorylation and the production of cellular ATP. Release of cytochrome C from the mitochondria to the cytosol is triggered by apoptotic stimuli. In the cytoplasm, the cytochrome C binds apoptotic protease activating factor which activates the apoptotic initiator procaspase 9. Cytosolic cytochrome C functions in the activation of caspase 3, an ICE family molecule that is a key effector of apoptosis.
TRUSTED_SUSTAINABILITY
Specifications

Specifications

Cytochrome C
Polyclonal
Unconjugated
Cycs
CG17903; CG17903-PA; CG17903-PB; CRF; CYC; CYC2; Cycs; CYCSA; Cyct-c-p; Cyt c; cyt c-p; cyt.c; CytC; Cyt-c; CYTC2; Cyt-c2; CytC-2; cyt-c-p; cytC-p; Cyt-c-p-PA; Cyt-c-p-PB; Cytochrome c; cytochrome c DC4; Cytochrome c proximal; Cytochrome C, expressed in somatic tissues; cytochrome c, somatic; Cytochrome c-2; cytochrome c-like; cytochrome c-like protein; Cytochrome c-proximal; cytochrome-c-p; Cytochrome-c-proximal; DC4; dCyt.C-p; DMc01; Dmel\CG17903; Dmel_CG17903; hc1; HCS; l(2)k13905; lethal (2) k13905; LOC100341175; LOC100357840; MGC128356 protein; pDMc01; RH17228p; THC4
Rabbit
Affinity Chromatography
RUO
13063, 25309, 54205
-20°C, Avoid Freeze/Thaw Cycles
Liquid
ELISA, Immunohistochemistry (Paraffin), Western Blot, Immunocytochemistry
1.53 mg/mL
PBS with 50% glycerol and 0.05% ProClin 300; pH 7.3
P62897, P62898, P99999
Cycs
Recombinant protein (or fragment).
100 μL
Primary
Human, Mouse, Rat
Antibody
IgG
Product Suggestions

Product Suggestions

Videos
SDS
Documents

Documents

Product Certifications
Promotions

Promotions

Product Content Correction

Your input is important to us. Please complete this form to provide feedback related to the content on this product.

Product Title

By clicking Submit, you acknowledge that you may be contacted by Fisher Scientific in regards to the feedback you have provided in this form. We will not share your information for any other purposes. All contact information provided shall also be maintained in accordance with our Privacy Policy.

Your feedback has been submitted: Thank you for helping us improve our website.