Learn More
Invitrogen™ Cytokeratin 1 Polyclonal Antibody

Rabbit Polyclonal Antibody
Supplier: Invitrogen™ PA5113746
Description
Immunogen sequence: GSYGSGSSSG GYRGGSGGGG GGSSGGRGSG GGSSGGSIGG RGSSSGGVKS For short term use, store at 2-8°C up to 1 week. For long term storage, store at -20°C in small aliquots to prevent freeze-thaw cycles. Predicted homology: Dog: 86%; Human: 100%; Rabbit: 93%; Rat: 93%.
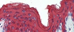
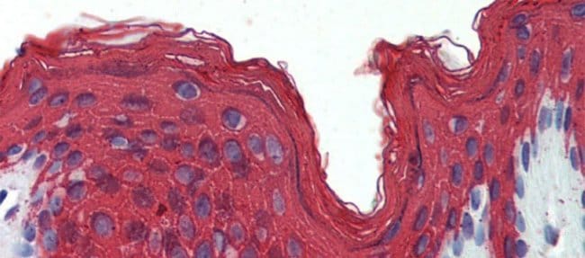
Cytokeratins are a subfamily of intermediate filament proteins and are characterized by a remarkable biochemical diversity, represented in human epithelial tissues by at least 20 different polypeptides. They range in molecular weight between approximately40 kDa and approximately68 kDa and isoelectric pH between 4. 9 - 7. 8. The individual human cytokeratins are numbered 1 to 20. The various epithelia in the human body usually express cytokeratins which are not only characteristic of the type of epithelium, but also related to the degree of maturation or differentiation within an epithelium. Cytokeratin subtype expression patterns are used to an increasing extent in the distinction of different types of epithelial malignancies. The cytokeratin antibodies are not only of assistance in the differential diagnosis of tumors using immunohistochemistry on tissue sections, but are also a useful tool in cytopathology and flow cytometric assays.
Specifications
| Cytokeratin 1 | |
| Polyclonal | |
| Unconjugated | |
| KRT1 | |
| 67 kDa cytokeratin; CK1; CK-1; cytokeratin 1; cytokeratin-1; EHK; EHK1; epidermolytic hyperkeratosis 1; epithelial keratin 1; Epithelial keratin-1; EPPK; Hair alpha protein; K1; Kb1; KER1; keratin 1; keratin 1 (epidermolytic hyperkeratosis); keratin 1, type II; keratin 86; keratin complex 2, basic, gene 1; keratin, type II cytoskeletal 1; Keratin-1; KRT1; krt1 {ECO:0000250; KRT1A; Krt-2.1; Krt2-1; Krt86; KRTA; NEPPK; type II keratin Kb1; type-II keratin Kb1; UniProtKB:P04264} | |
| Rabbit | |
| Affinity chromatography | |
| RUO | |
| 3848 | |
| -20°C, Avoid Freeze/Thaw Cycles | |
| Liquid |
| Immunohistochemistry (Paraffin), Western Blot | |
| 0.5 mg/mL | |
| PBS with 2% sucrose and 0.09% sodium azide | |
| P04264 | |
| KRT1 | |
| Synthetic peptide directed towards the middle region of human KRT1. | |
| 100 μL | |
| Primary | |
| Human | |
| Antibody | |
| IgG |
Your input is important to us. Please complete this form to provide feedback related to the content on this product.