Learn More
Invitrogen™ Cytokeratin 1 Recombinant Rabbit Monoclonal Antibody (10W8J6)

Description
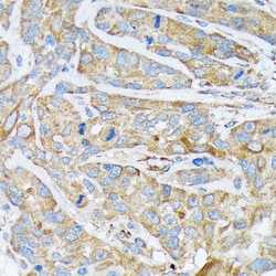
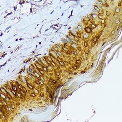
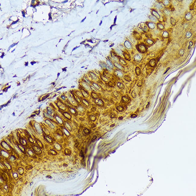
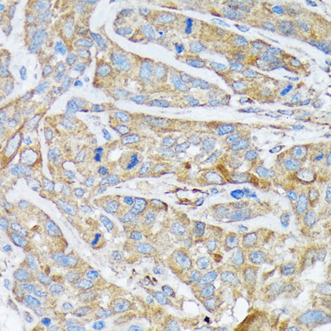
Positive Samples: Mouse brain, Rat brain, A375 Immunogen sequence: GGGGRGSYGS GGSSYGSGGG SYGSGGGGGG HGSYGSGSSS GGYRGGSGGG GGGSSGGRGS GGGSSGGSIG GRGSSSGGVK SSGGSSSVKF VSTTYSGVTR.
Specifications
Specifications
| Antigen | Cytokeratin 1 |
| Applications | ELISA, Immunohistochemistry (Paraffin), Western Blot |
| Classification | Recombinant Monoclonal |
| Clone | 10W8J6 |
| Concentration | 0.2 mg/mL |
| Conjugate | Unconjugated |
| Formulation | PBS with 0.05% BSA, 50% glycerol and 0.02% sodium azide; pH 7.3 |
| Gene | KRT1 |
| Gene Accession No. | P04104, P04264, Q6IMF3 |
| Gene Alias | 67 kDa cytokeratin; CK1; CK-1; cytokeratin 1; cytokeratin-1; EHK; EHK1; epidermolytic hyperkeratosis 1; epithelial keratin 1; Epithelial keratin-1; EPPK; Hair alpha protein; K1; Kb1; KER1; keratin 1; keratin 1 (epidermolytic hyperkeratosis); keratin 1, type II; keratin 86; keratin complex 2, basic, gene 1; keratin, type II cytoskeletal 1; Keratin-1; KRT1; krt1 {ECO:0000250; KRT1A; Krt-2.1; Krt2-1; Krt86; KRTA; NEPPK; type II keratin Kb1; type-II keratin Kb1; UniProtKB:P04264} |
| Show More |
Safety and Handling
By clicking Submit, you acknowledge that you may be contacted by Fisher Scientific in regards to the feedback you have provided in this form. We will not share your information for any other purposes. All contact information provided shall also be maintained in accordance with our Privacy Policy.