Promotional price valid on web orders only. Your contract pricing may differ. Interested in signing up for a dedicated account number?
Learn More
Learn More
Invitrogen™ Cytokeratin 14 Polyclonal Antibody

Rabbit Polyclonal Antibody
Supplier: Invitrogen™ PA513672
Description
This antibody is predicted to react with bovine and rat based on sequence homology.
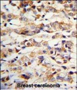
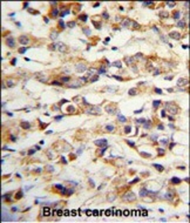
Cytokeratins (CK) are intermediate filaments of epithelial cells, both in keratinizing tissue (ie. skin) and non-keratinizing cells (ie. mesothelial cells). At least 20 different CKs can be identified. Biochemically, most members of the CK family fall into one of two classes, type I (acidic polypeptides) and type II (basic polypeptides). Belonging to the type I subfamily of low molecular weight keratins and existing in combination with keratin 5, keratin 14 distinguishes stratified epithelial cells from simple epithelial cells and is useful in identification of squamous cell carcinomas. It is considered a prognostic marker in breast carcinomas. At least one member of the acidic family and one member of the basic family is expressed in all epithelial cells.
Specifications
| Cytokeratin 14 | |
| Polyclonal | |
| Unconjugated | |
| KRT14 | |
| AI626930; CK14; CK-14; cytokeratin 14; cytokeratin-14; EBS3; EBS4; epidermolysis bullosa simplex, Dowling-Meara, Koebner; K14; Ka14; keratin 14; keratin 14 (epidermolysis bullosa simplex, Dowling-Meara, Koebner); keratin 14, type I; keratin complex 1, acidic, gene 14; keratin, type I cytoskeletal 14; keratin, type I cytoskeletal 17; keratin-14; Koebner; Krt-1.14; Krt1-14; KRT14; LOC100737113; NFJ; Type I keratin Ka14 | |
| Rabbit | |
| Ammonium sulfate precipitation, Size-exclusion - Dialysis | |
| RUO | |
| 16664, 3861 | |
| Store at 4°C short term. For long term storage, store at -20°C, avoiding freeze/thaw cycles. | |
| Liquid |
| Flow Cytometry, Immunohistochemistry (Paraffin), Western Blot | |
| 2 mg/mL | |
| PBS with 0.09% sodium azide; pH 7.4 | |
| P02533, Q61781 | |
| KRT14 | |
| KLH conjugated synthetic peptide between 276-303 amino acids from the central region of human KRT14. | |
| 400 μL | |
| Primary | |
| Human, Mouse | |
| Antibody | |
| IgG |
Product Content Correction
Your input is important to us. Please complete this form to provide feedback related to the content on this product.
Product Title
Spot an opportunity for improvement?Share a Content Correction