Promotional price valid on web orders only. Your contract pricing may differ. Interested in signing up for a dedicated account number?
Learn More
Learn More
Invitrogen™ Cytokeratin 5/6 Polyclonal Antibody

Rabbit Polyclonal Antibody
Supplier: Invitrogen™ PA5116450
Description
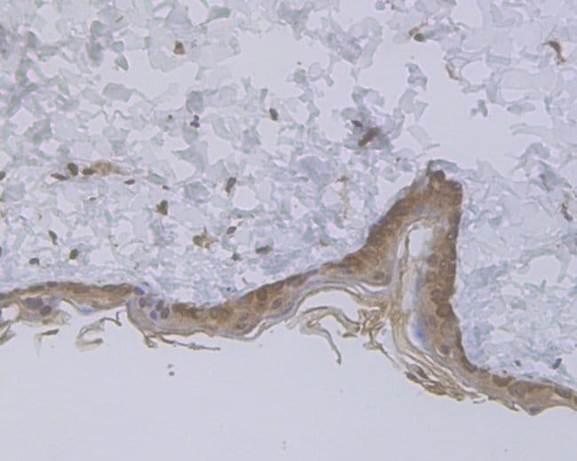
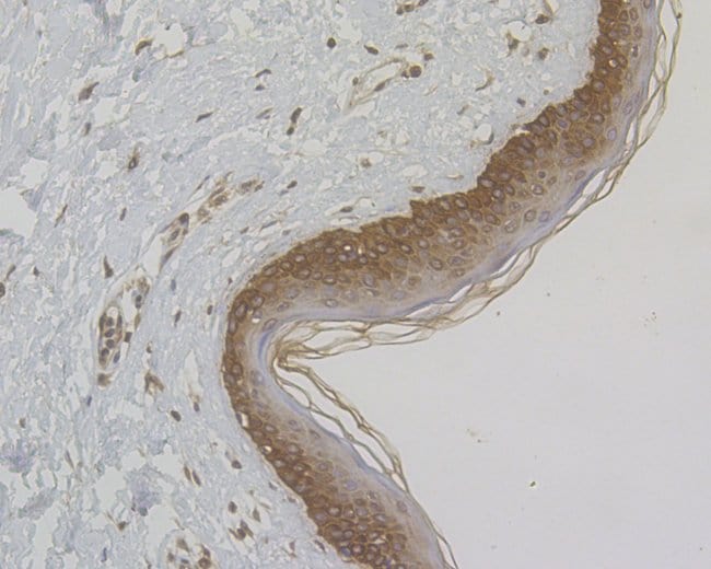
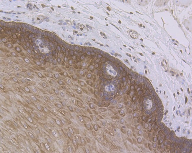
Positive controls: A431 cell lysates, human skin tissue, human esophagus tissue, Hela.
The protein encoded by this gene is a member of the keratin gene family. The type II cytokeratins consist of basic or neutral proteins which are arranged in pairs of heterotypic keratin chains coexpressed during differentiation of simple and stratified epithelial tissues. This type II cytokeratin is specifically expressed in the basal layer of the epidermis with family member KRT14. Mutations in these genes have been associated with a complex of diseases termed epidermolysis bullosa simplex. The type II cytokeratins are clustered in a region of chromosome 12q12-q13.
Specifications
| Cytokeratin 5/6 | |
| Polyclonal | |
| Unconjugated | |
| KRT5 | |
| 2310016L08Rik; 3300001P10Rik; 58 kDa cytokeratin; 60-kDa keratin; AW146334; CK5; CK-5; CK6A; CK-6A; CK6C; CK-6C; CK6D; CK-6D; CK-6E; cytokeratin 5; cytokeratin 6A; cytokeratin 6C; cytokeratin 6D; cytokeratin-5; Cytokeratin-6A; cytokeratin-6C; Cytokeratin-6D; cytokeratin-6E; DDD; DDD1; EBS2; epidermolysis bullosa simplex 2 Dowling-Meara/Kobner/Weber-Cockayne types; Hom s 5; K5; K6A; K6a keratin; K6C; K6D; kamp-keratin derived antimicrobial peptide; KDAMP; Ker2; keratin 5; keratin 5 (epidermolysis bullosa simplex Dowling-Meara/Kobner/Weber-Cockayne types); keratin 5 (epidermolysis bullosa simplex, Dowling-Meara/Kobner/Weber-Cockayne types); keratin 5, type II; keratin 6A; keratin 6A, , type II; keratin 6A, type II; keratin complex 2, basic, gene 5; keratin complex 2, basic, gene 6a; keratin complex 2, basic, gene 6c; keratin complex 2, gene 6a; keratin K6; keratin K6h; keratin, epidermal type II, K6A; keratin, type II cytoskeletal 5; Keratin, type II cytoskeletal 6A; keratin, type II cytoskeletal 6C; keratin-5; keratin-6A; Keratin-6-alpha; keratin-6C; Krt2-5; Krt2-6; Krt2-6a; Krt2-6c; krt5; KRT5A; Krt6; Krt6a; KRT6C; KRT6D; LOC683313; mK6[a]; MK6a; mK6-alpha; PC3; Sak57; similar to keratin complex 2, basic, gene 6a; Tfip8; tuftelin interacting protein 8; type-II keratin Kb12; type-II keratin Kb5; Type-II keratin Kb6 | |
| Rabbit | |
| Antigen affinity chromatography | |
| RUO | |
| 110308, 120093743, 16687, 16688, 369017, 3852, 3853, 3854 | |
| Store at 4°C short term. For long term storage, store at -20°C, avoiding freeze/thaw cycles. | |
| Liquid |
| Flow Cytometry, Immunohistochemistry (Paraffin), Western Blot | |
| 1 mg/mL | |
| PBS with 0.2% BSA, 50% glycerol and 0.05% sodium azide; pH 7.4 | |
| P02538, P04259, P13647, P50446, Q4FZU2, Q6P6Q2, Q922U2, Q9Z331 | |
| KRT5, KRT6A, KRT6B | |
| Synthetic peptide within Human Cytokeratin 5 aa 187-236. | |
| 100 μL | |
| Primary | |
| Human, Mouse, Rat | |
| Antibody | |
| IgG |
Product Content Correction
Your input is important to us. Please complete this form to provide feedback related to the content on this product.
Product Title
Spot an opportunity for improvement?Share a Content Correction