Promotional price valid on web orders only. Your contract pricing may differ. Interested in signing up for a dedicated account number?
Learn More
Learn More
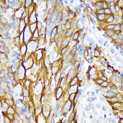
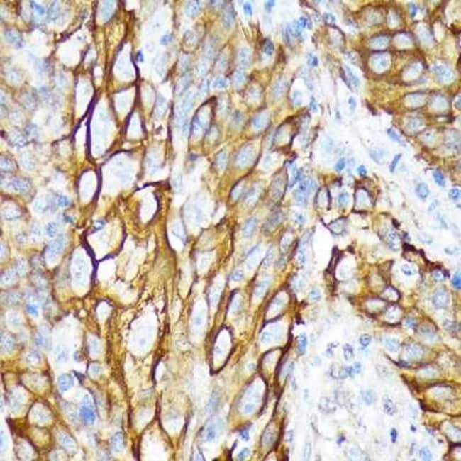
Cytokeratin 6a Rabbit anti-Human, Mouse, Rat, Clone: 1T4Z8, Novus Biologicals™

Rabbit Monoclonal Antibody
Supplier: Novus Biologicals NBP316452100UL
This item is not returnable.
View return policy
Description
Cytokeratin 6a Monoclonal antibody specifically detects Cytokeratin 6a in Human, Mouse, Rat samples. It is validated for Western Blot, Immunohistochemistry, Immunohistochemistry (Paraffin)Specifications
Cytokeratin 6a | |
Monoclonal | |
Unconjugated | |
PBS, 0.05% BSA, 50% glycerol, pH7.3 | |
Rabbit | |
Affinity purified | |
RUO | |
Primary | |
Human, Mouse, Rat | |
Purified |
Western Blot, Immunohistochemistry, Immunohistochemistry (Paraffin) | |
1T4Z8 | |
Western Blot, Immunohistochemistry 1:50 - 1:200, Immunohistochemistry-Paraffin | |
Allergen Hom s 5, CK6A, CK-6A, CK6C, CK6D, CK-6D, cytokeratin 6A, cytokeratin 6C, cytokeratin 6D, Cytokeratin-6A, Cytokeratin-6D, K6A, K6C, K6D, keratin 6A, keratin 6C, keratin 6D, keratin, epidermal type II, K6A, keratin, type II cytoskeletal 6A, Keratin-6A, KRT6C, KRT6D, Type-II keratin Kb6 | |
A synthetic peptide corresponding to a sequence within amino acids 1-100 of human Cytokeratin 6a (P02538). | |
100 μg | |
Cell Biology, Cellular Markers, Stem Cell Markers | |
3853 | |
Store at -20°C. Avoid freeze-thaw cycles. | |
IgG |
Product Content Correction
Your input is important to us. Please complete this form to provide feedback related to the content on this product.
Product Title
Spot an opportunity for improvement?Share a Content Correction