Promotional price valid on web orders only. Your contract pricing may differ. Interested in signing up for a dedicated account number?
Learn More
Learn More
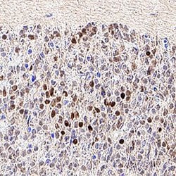
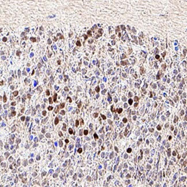
Invitrogen™ DACH2 Polyclonal Antibody

Goat Polyclonal Antibody
Supplier: Invitrogen™ PA548072
Description
This antibody detects endogenous human and mouse DACH2 in Western blots. Reconstitute at 0.2 mg/mL in sterile PBS.
This gene is one of two genes which encode a protein similar to the Drosophila protein dachshund, a transcription factor involved in cell fate determination in the eye, limb and genital disc of the fly. The encoded protein contains two characteristic dachshund domains: an N-terminal domain responsible for DNA binding and a C-terminal domain responsible for protein-protein interactions. This gene is located on the X chromosome and is subject to inactivation by DNA methylation. The encoded protein may be involved in regulation of organogenesis and myogenesis, and may play a role in premature ovarian failure. Multiple transcript variants encoding different isoforms have been found for this gene.
Specifications
| DACH2 | |
| Polyclonal | |
| Unconjugated | |
| Dach2 | |
| 9430028N04Rik; DACH2; dachshund 2; dachshund 2 (Drosophila); dachshund family transcription factor 2; dachshund homolog 2; FLJ31391; MGC138545; RGD1561687; RP11-345E19.1 | |
| Goat | |
| Antigen Affinity Chromatography | |
| RUO | |
| 117154, 93837 | |
| -20°C, Avoid Freeze/Thaw Cycles | |
| Lyophilized |
| Immunohistochemistry (Frozen), Western Blot | |
| 0.2 mg/mL | |
| PBS with 5% trehalose and No Preservative | |
| Q925Q8, Q96NX9 | |
| Dach2 | |
| E. coli-derived recombinant human DACH2 Gln419-Gln583. | |
| 100 μg | |
| Primary | |
| Human, Mouse | |
| Antibody | |
| IgG |
Safety and Handling
WARNING: Cancer - www.P65Warnings.ca.gov
Product Content Correction
Your input is important to us. Please complete this form to provide feedback related to the content on this product.
Product Title
Spot an opportunity for improvement?Share a Content Correction