Promotional price valid on web orders only. Your contract pricing may differ. Interested in signing up for a dedicated account number?
Learn More
Learn More
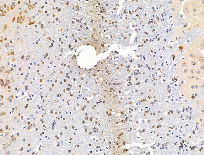
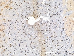
Invitrogen™ DAGLA Polyclonal Antibody

Rabbit Polyclonal Antibody
Supplier: Invitrogen™ PA5115090
Description
Antibody detects endogenous levels of total DAGLA.
This gene encodes a diacylglycerol lipase. The encoded enzyme is involved in the biosynthesis of the endocannabinoid 2-arachidonoyl-glycerol.
Specifications
| DAGLA | |
| Polyclonal | |
| Unconjugated | |
| DAGLA | |
| C11orf11; DAGL(ALPHA); DAGLA; DAGLALPHA; DGL-alpha; diacylglycerol lipase alpha; diacylglycerol lipase, alpha; KIAA0659; Neural stem cell-derived dendrite regulator; NSDDR; Sn1-specific diacylglycerol lipase alpha | |
| Rabbit | |
| Affinity Chromatography | |
| RUO | |
| 269060, 309207, 747 | |
| -20°C | |
| Liquid |
| Immunohistochemistry (Paraffin), Western Blot, Immunocytochemistry | |
| 1 mg/mL | |
| PBS with 50% glycerol and 0.02% sodium azide | |
| Q5YLM1, Q6WQJ1, Q9Y4D2 | |
| DAGLA | |
| A synthesized peptide derived from human DAGLA(Accession Q9Y4D2), corresponding to amino acid residues Q1011-R1042. | |
| 100 μL | |
| Primary | |
| Human, Mouse, Rat | |
| Antibody | |
| IgG |
Safety and Handling
WARNING: Cancer - www.P65Warnings.ca.gov
Product Content Correction
Your input is important to us. Please complete this form to provide feedback related to the content on this product.
Product Title
Spot an opportunity for improvement?Share a Content Correction