Promotional price valid on web orders only. Your contract pricing may differ. Interested in signing up for a dedicated account number?
Learn More
Learn More
Invitrogen™ DAO Polyclonal Antibody

Goat Polyclonal Antibody
Supplier: Invitrogen™ PA5142333
This item is not returnable.
View return policy
Description
This antibody is tested in Peptide ELISA: antibody detection limit dilution 1:64,000. Preliminary analysis showed no signal in Western Blot.
This gene encodes the peroxisomal enzyme D-amino acid oxidase. The enzyme is a flavoprotein which uses flavin adenine dinucleotide (FAD) as its prosthetic group. Its substrates include a wide variety of D-amino acids, but it is inactive on the naturally occurring L-amino acids. Its biological function is not known; it may act as a detoxifying agent which removes D-amino acids that accumulate during aging. In mice, it degrades D-serine, a co-agonist of the NMDA receptor. This gene may play a role in the pathophysiology of schizophrenia.
Specifications
| DAO | |
| Polyclonal | |
| Unconjugated | |
| DAO | |
| ABP; Abp1; AI987963; AOC1; DAAO; D-amino acid oxidase; D-amino acid oxidase (EC 1.4.3.3); D-amino acid oxidase 1; D-amino-acid oxidase; DAMOX; Dao; DAO1; Dao-1; Diamine oxidase; Histaminase; KAO; OXDA | |
| Goat | |
| Ammonium sulfate precipitation | |
| RUO | |
| 1610 | |
| -20°C, Avoid Freeze/Thaw Cycles | |
| Liquid |
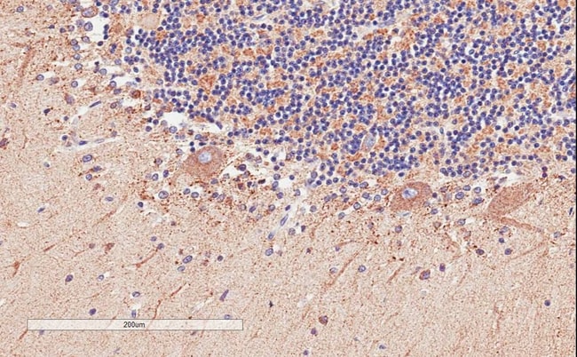
| Immunohistochemistry (Paraffin) | |
| 0.5 mg/mL | |
| TBS with 0.5% BSA and 0.02% sodium azide; pH 7.3 | |
| P14920 | |
| DAO | |
| Peptide with sequence C-EEKKLSRMPPSH. | |
| 100 μg | |
| Primary | |
| Human | |
| Antibody | |
| IgG |
Product Content Correction
Your input is important to us. Please complete this form to provide feedback related to the content on this product.
Product Title
Spot an opportunity for improvement?Share a Content Correction