Promotional price valid on web orders only. Your contract pricing may differ. Interested in signing up for a dedicated account number?
Learn More
Learn More
Invitrogen™ DBT Polyclonal Antibody

Rabbit Polyclonal Antibody
Supplier: Invitrogen™ PA555319
Description
Immunogen sequence: VGKPLVDIET EALKDSEEDV VETPAVSHDE HTHQEIKGRK TLATPAVRRL AMENNIKLSE VVGSGKDGRI LKEDILNYLE KQ Highest antigen sequence identity to the following orthologs: Mouse - 95%, Rat - 95%.
The branched-chain alpha-keto acid dehydrogenase complex (BCKD) is an inner-mitochondrial enzyme complex involved in the breakdown of the branched-chain amino acids isoleucine, leucine, and valine. The BCKD complex is thought to be composed of a core of 24 transacylase (E2) subunits, and associated decarboxylase (E1), dehydrogenase (E3), and regulatory subunits. This gene encodes the transacylase (E2) subunit. Mutations in this gene result in maple syrup urine disease, type 2. Alternatively spliced transcript variants have been described, but their biological validity has not been determined.
Specifications
DBT | |
Polyclonal | |
Unconjugated | |
Dbt | |
52 kDa mitochondrial autoantigen of primary biliary cirrhosis; alpha-keto acid dehydrogenase precursor; BCATE2; BCKAD E2; BCKAD E2 subunit; BCKADE2; BCKAD-E2; BCOADC-E2; Branched chain 2-oxo-acid dehydrogenase complex component E2; branched chain acyltransferase, E2 component; branched-chain alpha-keto acid dehydrogenase complex component E2; branched-chain alpha-ketoacid dehydrogenase, E2 subunit; component of branched chain keto acid dehydrogenase complex; D3Wsu60e; DBT; Dihydrolipoamide acetyltransferase component of branched-chain alpha-keto acid dehydrogenase complex; Dihydrolipoamide branched chain transacylase; dihydrolipoamide branched chain transacylase E2; dihydrolipoyl transacylase; dihydrolipoyllysine-residue (2-methylpropanoyl)transferase; E2; E2 component of branched chain alpha-keto acid dehydrogenase complex; E2b; hypothetical protein LOC541388; im:7147214; lipoamide acyltransferase component of branched-chain alpha-keto acid dehydrogenase complex, mitochondrial; lipoamide acyltransferase component of mitochondrial branched-chain alpha-keto acid dehydrogenase complex; MGC9061; mitochondrial branched chain alpha-keto acid dehydrogenase transacylase subunit (E2b); part of the BCKAD complex; que; transacylase precursor; zgc:103768 | |
Rabbit | |
Antigen affinity chromatography | |
RUO | |
13171, 1629, 29611 | |
Store at 4°C short term. For long term storage, store at -20°C, avoiding freeze/thaw cycles. | |
Liquid |
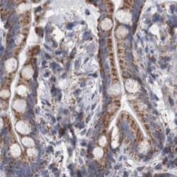
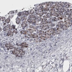
Immunohistochemistry (Paraffin), Western Blot, Immunocytochemistry | |
0.3 mg/mL | |
PBS with 40% glycerol and 0.02% sodium azide; pH 7.2 | |
P11182, P53395 | |
Dbt | |
Recombinant protein corresponding to Human DBT. Recombinant protein control fragment (Product #RP-94248). | |
100 μL | |
Primary | |
Human, Mouse, Rat | |
Antibody | |
IgG |
Safety and Handling
WARNING: Cancer - www.P65Warnings.ca.gov
Product Content Correction
Your input is important to us. Please complete this form to provide feedback related to the content on this product.
Product Title
Spot an opportunity for improvement?Share a Content Correction