Promotional price valid on web orders only. Your contract pricing may differ. Interested in signing up for a dedicated account number?
Learn More
Learn More
DCP1B Monoclonal Antibody (OTI1G4), TrueMAB™, OriGene

Mouse Monoclonal Antibody
$516.29
Specifications
Antigen | DCP1B |
---|---|
Clone | OTI1G4 |
Concentration | 1 mg/mL |
Applications | Western Blot |
Classification | Monoclonal |
Catalog Number | Mfr. No. | Quantity | Price | Quantity & Availability | |||||
---|---|---|---|---|---|---|---|---|---|
Catalog Number | Mfr. No. | Quantity | Price | Quantity & Availability | |||||
50-168-3104
![]() ![]() |
OriGene
TA809930 |
100 μL |
Each of 1 for $516.29
|
|
|||||
Description
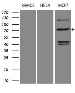
DCP1B Monoclonal antibody specifically detects DCP1B in Human samples. It is validated for Western BlotSpecifications
DCP1B | |
1 mg/mL | |
Monoclonal | |
Liquid | |
RUO | |
Q8IZD4 | |
IgG1 | |
-20° C, Avoid Freeze/Thaw Cycles |
OTI1G4 | |
Western Blot | |
Unconjugated | |
Mouse | |
Human | |
196513 | |
Primary | |
DCP1B |
Spot an opportunity for improvement?Share a Content Correction
Product Content Correction
The Fisher Scientific Encompass Program offers items which are not part of our distribution portfolio. These products typically do not have pictures or detailed descriptions. However, we are committed to improving your shopping experience. Please use the form below to provide feedback related to the content on this product.
Product Title