Promotional price valid on web orders only. Your contract pricing may differ. Interested in signing up for a dedicated account number?
Learn More
Learn More
DCP1B Rabbit anti-Human, Mouse, Rat, Polyclonal, Proteintech

Rabbit Polyclonal Antibody
Supplier: Proteintech Group Inc 138631AP150UL

Description
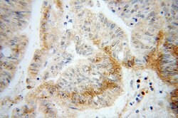
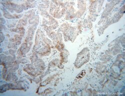
DCP1B is a core component of the mRNA decapping complex, a key factor in the regulation of mRNA decay.Specifications
DCP1B | |
Polyclonal | |
Unconjugated | |
DCP1B | |
DCP1, DCP1B, hDcp1b, mRNA decapping enzyme 1B | |
Rabbit | |
Antigen Affinity Chromatography | |
RUO | |
196513, 319618, 500305 | |
-20°C | |
Liquid |
Immunocytochemistry, Immunofluorescence, Immunohistochemistry (Paraffin), Immunoprecipitation, Western Blot | |
0.35 mg/mL | |
PBS with 50% glycerol and 0.02% sodium azide; pH 7.3 | |
Q3U564, Q8IZD4 | |
Dcp1b | |
DCP1B Fusion Protein Ag4845 | |
150 μL | |
Primary | |
Human, Mouse, Rat | |
Antibody | |
IgG |
Product Content Correction
The Fisher Scientific Encompass Program offers items which are not part of our distribution portfolio. These products typically do not have pictures or detailed descriptions. However, we are committed to improving your shopping experience. Please use the form below to provide feedback related to the content on this product.
Product Title
Spot an opportunity for improvement?Share a Content Correction