Promotional price valid on web orders only. Your contract pricing may differ. Interested in signing up for a dedicated account number?
Learn More
Learn More
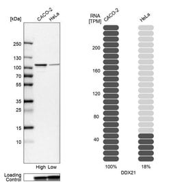
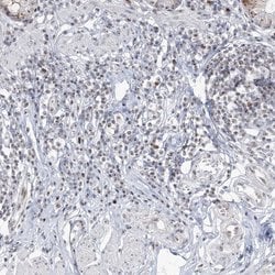
Invitrogen™ DDX21 Polyclonal Antibody

Rabbit Polyclonal Antibody
Supplier: Invitrogen™ PA557734
Description
Immunogen sequence: DSRRWQLSVA TEQPELEGPR EGYGGFRGQR EGSRGFRGQR DGNRRFRGQR EGSRGPRGQR SGGGNKSNRS QNKGQKRSFS KAFGQ Highest antigen sequence identity to the following orthologs: Mouse - 72%, Rat - 82%.
Eukaryotic initiation factor 2B (EIF2B), which is necessary for protein synthesis, is a GTP exchange factor composed of five different subunits. The protein encoded by this gene is the fourth, or delta, subunit. Defects in this gene are a cause of leukoencephalopathy with vanishing white matter (VWM) and ovarioleukodystrophy. Multiple transcript variants encoding different isoforms have been found for this gene.
Specifications
| DDX21 | |
| Polyclonal | |
| Unconjugated | |
| DDX21 | |
| AI255159; AL022742; D10Ertd645e; D10Wsu42e; DDX21; Ddx21a; DEAD (Asp-Glu-Ala-Asp) box helicase 21; DEAD (Asp-Glu-Ala-Asp) box polypeptide 21; DEAD (Asp-Glu-Ala-Asp) box polypeptide 21a; DEAD box protein 21; DEAD/H (Asp-Glu-Ala-Asp/His) box polypeptide 21; DEAD/H (Asp-Glu-Ala-Asp/His) box polypeptide 21 (RNA helicase II/Gu); DEAD-box helicase 21; DExD-box helicase 21; Gu protein; GUA; gu-alpha; GURDB; Nucleolar RNA helicase 2; nucleolar RNA helicase Gu; Nucleolar RNA helicase II; RH II/Gu; RH-II/GU; RH-II/GuA; RH-II/Gualpha; RNA helicase II/Gu alpha | |
| Rabbit | |
| Antigen affinity chromatography | |
| RUO | |
| 9188 | |
| Store at 4°C short term. For long term storage, store at -20°C, avoiding freeze/thaw cycles. | |
| Liquid |
| Immunohistochemistry (Paraffin), Western Blot, Immunocytochemistry | |
| 0.2 mg/mL | |
| PBS with 40% glycerol and 0.02% sodium azide; pH 7.2 | |
| Q9NR30 | |
| DDX21 | |
| Recombinant protein corresponding to Human DDX21. Recombinant protein control fragment (Product #RP-102727). | |
| 100 μL | |
| Primary | |
| Human | |
| Antibody | |
| IgG |
Product Content Correction
Your input is important to us. Please complete this form to provide feedback related to the content on this product.
Product Title
Spot an opportunity for improvement?Share a Content Correction