Learn More
Description
Specifications
Specifications
| Antigen | DDX46 |
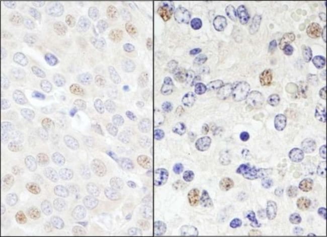
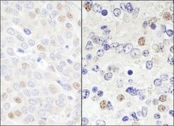
| Applications | Immunohistochemistry, Immunoprecipitation, Immunohistochemistry (Paraffin) |
| Classification | Polyclonal |
| Concentration | 1.0 mg/mL |
| Conjugate | Unconjugated |
| Dilution | Immunohistochemistry 1:10-1:500, Immunoprecipitation 2 - 5 ug/mg lysate, Immunohistochemistry-Paraffin 1:10-1:500 |
| Formulation | Tris-Citrate/Phosphate (pH 7.0 - 8.0) with 0.09% Sodium Azide |
| Gene Accession No. | NP_055644.2 |
| Gene Alias | DEAD (Asp-Glu-Ala-Asp) box polypeptide 46, DEAD box protein 46, EC 3.6.1, EC 3.6.4.13, FLJ25329, KIAA0801probable ATP-dependent RNA helicase DDX46, MGC9936, Prp5, PRP5 homolog, Prp5-like DEAD-box protein, PRPF5, RNA helicase |
| Gene Symbols | DDX46 |
| Show More |
For Research Use Only
By clicking Submit, you acknowledge that you may be contacted by Fisher Scientific in regards to the feedback you have provided in this form. We will not share your information for any other purposes. All contact information provided shall also be maintained in accordance with our Privacy Policy.
