Promotional price valid on web orders only. Your contract pricing may differ. Interested in signing up for a dedicated account number?
Learn More
Learn More
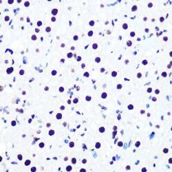
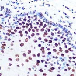
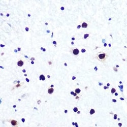
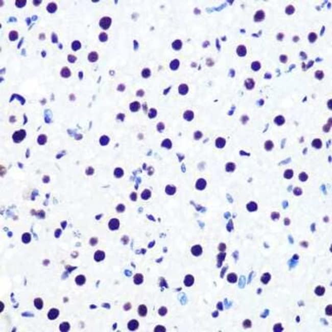
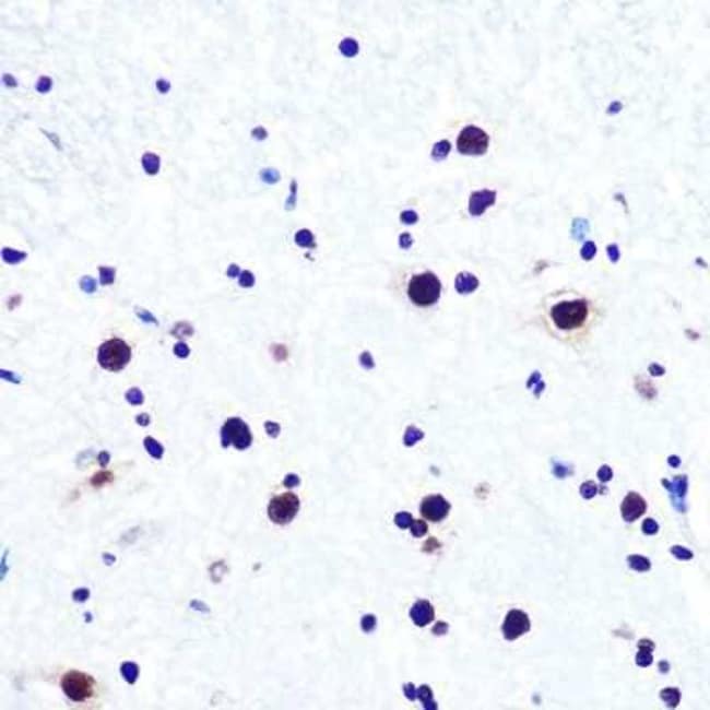
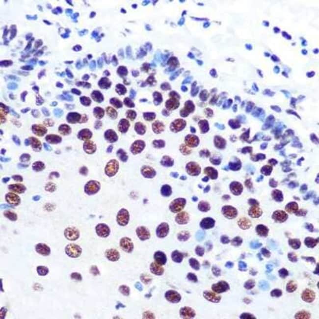
DDX5 Rabbit anti-Human, Mouse, Rat, Clone: 1K6X10, Novus Biologicals™

Rabbit Monoclonal Antibody
$205.50 - $458.50
Specifications
Antigen | DDX5 |
---|---|
Clone | 1K6X10 |
Dilution | Western Blot, Immunohistochemistry 1:50 - 1:200, Immunocytochemistry/Immunofluorescence, Immunoprecipitation, Immunohistochemistry-Paraffin |
Applications | Western Blot, Immunohistochemistry, Immunofluorescence, Immunoprecipitation, Immunohistochemistry (Paraffin) |
Classification | Monoclonal |
Description
DDX5 Monoclonal antibody specifically detects DDX5 in Human, Mouse, Rat samples. It is validated for Western Blot, Immunohistochemistry, Immunofluorescence, Immunoprecipitation, Immunohistochemistry (Paraffin)Specifications
DDX5 | |
Western Blot, Immunohistochemistry 1:50 - 1:200, Immunocytochemistry/Immunofluorescence, Immunoprecipitation, Immunohistochemistry-Paraffin | |
Monoclonal | |
Purified | |
RUO | |
PBS, 0.05% BSA, 50% glycerol, pH7.3 | |
1655 | |
IgG | |
Affinity purified |
1K6X10 | |
Western Blot, Immunohistochemistry, Immunofluorescence, Immunoprecipitation, Immunohistochemistry (Paraffin) | |
Unconjugated | |
Rabbit | |
Human, Mouse, Rat | |
B-cell CLL/lymphoma 7 protein family member C, B-cell CLL/lymphoma 7C | |
A synthetic peptide corresponding to a sequence within amino acids 1-100 of human DDX5 (P17844). | |
Primary | |
Store at -20°C. Avoid freeze-thaw cycles. |
Spot an opportunity for improvement?Share a Content Correction
Product Content Correction
Your input is important to us. Please complete this form to provide feedback related to the content on this product.
Product Title