Promotional price valid on web orders only. Your contract pricing may differ. Interested in signing up for a dedicated account number?
Learn More
Learn More
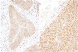
DDX6 Antibody, Novus Biologicals™

Rabbit Polyclonal Antibody has been used in 35 publications
Supplier: Novus Biologicals NB200191
Description
DDX6 Polyclonal specifically detects DDX6 in Human, Mouse, Hamster samples. It is validated for Western Blot, Immunohistochemistry, Immunocytochemistry/Immunofluorescence, Immunoprecipitation, Immunohistochemistry-Paraffin.Specifications
DDX6 | |
Polyclonal | |
Unconjugated | |
TBS, 0.1% BSA with 0.09% Sodium Azide | |
ATP-dependent RNA helicase p54, DEAD (Asp-Glu-Ala-Asp) box polypeptide 6, DEAD box protein 6, DEAD/H (Asp-Glu-Ala-Asp/His) box polypeptide 6 (RNA helicase, 54kD), EC 3.6.1, EC 3.6.4.13, FLJ36338, HLR2DEAD box-6, Oncogene RCK, probable ATP-dependent RNA helicase DDX6, RCKP54 | |
Rabbit | |
Affinity Purified | |
RUO | |
1656 | |
Human, Mouse, Hamster | |
IgG |
Western Blot, Immunohistochemistry, Immunocytochemistry, Immunofluorescence, Immunoprecipitation, Immunohistochemistry (Paraffin) | |
0.2 mg/mL | |
Western Blot 1:5000-1:15000, Immunohistochemistry 1:100-1:500, Immunocytochemistry/Immunofluorescence, Immunoprecipitation 2-5 ug/mg lysate, Immunohistochemistry-Paraffin 1:100-1:500 | |
P26196 | |
DDX6 | |
The immunogen recognized by NB200-191 maps to a region between residues 1 and 50 of human DEAD (Asp-Glu-Ala-Asp) box polypeptide 6 using the numbering given Swiss-Prot entry P26196 (GeneID 1656). | |
0.1 mL | |
Primary | |
NB200-191 is specific for human DDX6 protein. Based on 100% sequence identity, this antibody is predicted to react with Panda, Orangutan, Gorilla, Chimpanzee,Green anole, White-tufted-ear marmoset and Naked mole rat. | |
Store at 4C. Do not freeze. |
Product Content Correction
Your input is important to us. Please complete this form to provide feedback related to the content on this product.
Product Title
For Research Use Only
Spot an opportunity for improvement?Share a Content Correction