Promotional price valid on web orders only. Your contract pricing may differ. Interested in signing up for a dedicated account number?
Learn More
Learn More
Invitrogen™ DDX6 Polyclonal Antibody

Rabbit Polyclonal Antibody
Supplier: Invitrogen™ PA555012
Description
Immunogen sequence: ENPVIMGLSS QNGQLRGPVK PTGGPGGGGT QTQQQMNQLK NTNTINNGTQ QQAQSMTTTI KPGDDWKKTL KLPPKDLRIK TSDVTSTKGN EFEDYCLKRE LLMGIFEMGW EKPSPIQ Highest antigen sequence identity to the following orthologs: Mouse - 91%, Rat - 93%.
This gene encodes a member of the DEAD box protein family. The protein is an RNA helicase found in P-bodies and stress granules, and functions in translation suppression and mRNA degradation. It is required for microRNA-induced gene silencing.
Specifications
| DDX6 | |
| Polyclonal | |
| Unconjugated | |
| DDX6 | |
| 1110001P04Rik; ATP-dependent RNA helicase p54; DDX6; D-E-A-D (aspartate-glutamate-alanine-aspartate) box polypeptide 6; DEAD (aspartate-glutamate-alanine-aspartate) box polypeptide 6; DEAD (Asp-Glu-Ala-Asp) box helicase 6; DEAD (Asp-Glu-Ala-Asp) box polypeptide 6; DEAD box protein 6; DEAD box-6; DEAD/H (Asp-Glu-Ala-Asp/His) box polypeptide 6; DEAD/H (Asp-Glu-Ala-Asp/His) box polypeptide 6 (RNA helicase, 54kD); DEAD-box helicase 6; DEAD-box protein 6; E230023J21Rik; HLR2; mRCK/P54; Oncogene RCK; oncogene RCK homolog; p54; probable ATP-dependent RNA helicase DDX6; RCK; RGD1564560 | |
| Rabbit | |
| Antigen affinity chromatography | |
| RUO | |
| 13209, 1656, 500988 | |
| Store at 4°C short term. For long term storage, store at -20°C, avoiding freeze/thaw cycles. | |
| Liquid |
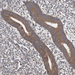
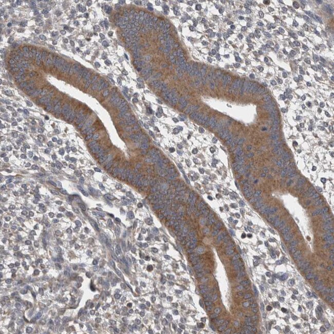
| Immunohistochemistry (Paraffin), Western Blot, Immunocytochemistry | |
| 0.1 mg/mL | |
| PBS with 40% glycerol and 0.02% sodium azide; pH 7.2 | |
| P26196, P54823 | |
| DDX6 | |
| Recombinant protein corresponding to Human DDX6. Recombinant protein control fragment (Product #RP-92557). | |
| 100 μL | |
| Primary | |
| Human, Mouse, Rat | |
| Antibody | |
| IgG |
Safety and Handling
WARNING: Cancer - www.P65Warnings.ca.gov
Product Content Correction
Your input is important to us. Please complete this form to provide feedback related to the content on this product.
Product Title
Spot an opportunity for improvement?Share a Content Correction