Promotional price valid on web orders only. Your contract pricing may differ. Interested in signing up for a dedicated account number?
Learn More

DEC1 Rabbit anti-Human, Polyclonal, Bethyl Laboratories

Rabbit Polyclonal Antibody

Supplier:  Bethyl Laboratories, Inc A300649A

Encompass_Preferred

Catalog No. 50-155-8124


May include imposed supplier surcharges.
Only null left
Add to Cart

Description

Description

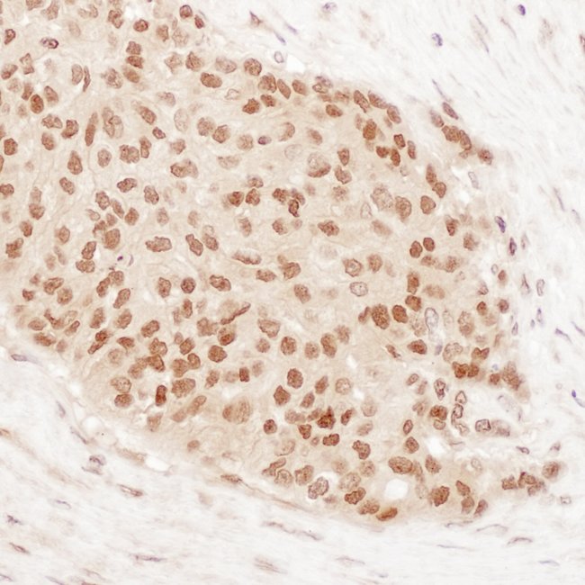
The recommended shelf life for this product is 1 year from date of receipt. Application Note: For IHC, epitope retrieval with Tris-EDTA pH 9.0 is recommended for FFPE tissue sections. Based on 100% sequence identity, this antibody is predicted to react with Orangutan

Differentiated embryo-chondrocyte expressed gene 1 (DEC1) is an important protein involved in embryonic cell differentiation, proliferation, and apoptosis. It has also recently been shown to be regulated by hypoxia. The loss of DEC1 expression may be an early event in the development of lung cancer, while DEC1 may be up-regulated by hypoxia in other cancers and in more extreme hypoxia it may have a role in cell death.
Specifications

Specifications

DEC1
Polyclonal
Unconjugated
BHLHE40
DEC-1, Differentially Expressed in Chondrocytes, Differentiated Embryo Chrondrocyte Expressed Gene 1, BHLHB2, Basic Helix-Loop-Helix Domain Containing
Rabbit
Antigen affinity chromatography
RUO
8553
4° C
Liquid
Immunohistochemistry, Immunoprecipitation, Western Blot
1 mg/ml
phosphate, tris citrate with 0.09% sodium azide; pH 7-8
O14503
BHLHE40
Between 350 and C-term
100 μL
Primary
Human
Antibody
IgG
Product Suggestions

Product Suggestions

Videos
SDS
Documents

Documents

Product Certifications
Promotions

Promotions

Product Content Correction

The Fisher Scientific Encompass Program offers items which are not part of our distribution portfolio. These products typically do not have pictures or detailed descriptions. However, we are committed to improving your shopping experience. Please use the form below to provide feedback related to the content on this product.

Product Title

By clicking Submit, you acknowledge that you may be contacted by Fisher Scientific in regards to the feedback you have provided in this form. We will not share your information for any other purposes. All contact information provided shall also be maintained in accordance with our Privacy Policy.

Your feedback has been submitted: Thank you for helping us improve our website.