Learn More
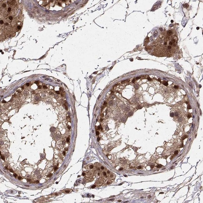
Invitrogen™ DEDD Polyclonal Antibody

Description
Immunogen sequence: LALERQGRCD ESNFRQVLQL LRIITRHDLL PYVTLKRRRA VCPDLVDKYL EETSIRYVTP RALSD Highest antigen sequence indentity to the following orthologs: Mouse - 98%, Rat - 98%.
Specifications
Specifications
| Antigen | DEDD |
| Applications | Immunohistochemistry (Paraffin) |
| Classification | Polyclonal |
| Concentration | 0.1 mg/mL |
| Conjugate | Unconjugated |
| Formulation | PBS with 40% glycerol and 0.02% sodium azide; pH 7.2 |
| Gene | DEDD |
| Gene Accession No. | O75618 |
| Gene Alias | CASP8IP1; death effector domain containing; death effector domain-containing; death effector domain-containing protein; Death effector domain-containing testicular molecule; DEDD; DEDD1; Dedpro1; DEFT; FLDED1; FLDED-1; KE05; tumor necrosis factor (ligand) superfamily, member 19 |
| Gene Symbols | DEDD |
| Show More |
Safety and Handling
By clicking Submit, you acknowledge that you may be contacted by Fisher Scientific in regards to the feedback you have provided in this form. We will not share your information for any other purposes. All contact information provided shall also be maintained in accordance with our Privacy Policy.