Promotional price valid on web orders only. Your contract pricing may differ. Interested in signing up for a dedicated account number?
Learn More
Learn More
Invitrogen™ DEPP Polyclonal Antibody

Rabbit Polyclonal Antibody
Supplier: Invitrogen™ PA558122
Description
Immunogen sequence: PSPSLDDYVR SISRLAQPTS VLDKATAQGQ PRPPHRPAQA CRKGRPAVSL RDITARFSGQ QPTLPMADTV DP Highest antigen sequence identity to the following orthologs: Mouse - 57%, Rat - 54%.
DEPP, also named as FIG and C10orf10, is known to be differentially regulated in mouse tissues in response to hypoxia and oxidative stress.
Specifications
DEPP | |
Polyclonal | |
Unconjugated | |
DEPP1 | |
C10orf10; chromosome 10 open reading frame 10; decidual protein induced by progesterone; DEPP; DEPP1; fasting induced; fasting-induced gene protein; fasting-induced protein; fat-specific expressed; FIG; Fseg; protein DEPP; Protein DEPP1 | |
Rabbit | |
Antigen affinity chromatography | |
RUO | |
11067 | |
Store at 4°C short term. For long term storage, store at -20°C, avoiding freeze/thaw cycles. | |
Liquid |
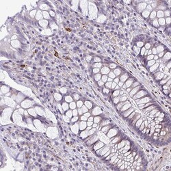
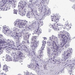
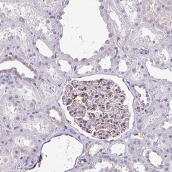
Immunohistochemistry (Paraffin), Immunocytochemistry | |
0.2 mg/mL | |
PBS with 40% glycerol and 0.02% sodium azide; pH 7.2 | |
Q9NTK1 | |
DEPP1 | |
Recombinant protein corresponding to Human DEPP. Recombinant protein control fragment (Product #RP-102788). | |
100 μL | |
Primary | |
Human | |
Antibody | |
IgG |
Product Content Correction
Your input is important to us. Please complete this form to provide feedback related to the content on this product.
Product Title
Spot an opportunity for improvement?Share a Content Correction