Promotional price valid on web orders only. Your contract pricing may differ. Interested in signing up for a dedicated account number?
Learn More
Learn More
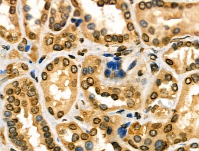
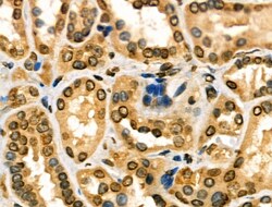
Invitrogen™ DGKI Polyclonal Antibody

Rabbit Polyclonal Antibody
Supplier: Invitrogen™ PA5106463
Description
Antibody detects endogenous levels of total DGKI.
Diacylglycerol (DAG) influences numerous cell signaling cascades by functioning as an intracellular, allosteric activator of protein kinase C (PKC), and as a potent activator of guanine nucleotide exchange factors. In order to maintain cellular homeostasis, intracellular DAG levels are tightly regulated by diacylglycerol kinases (DGKs, DAGKs), which phosphorylate DAG to phosphatidic acid, thus removing DAG. Human DGK-α (80 kDa), -β (90 kDa), and - γ (90 kDa) have calcium-binding EF-hand motifs at their N termini and are classified as type I DGKs. Human DGK-δ (130 kDa) and DGK-ι (130 kDa) contain N-terminal pleckstrin homology (PH) domains and are classified as type II. Human DGK-epsilon (64 kDa) contains no identifiable regulatory domains and is classified as a type III DGK. Human DGK-Ω (104 kDa) and -iota (130 kDa) possess C-terminal ankyrin repeats and are classified as type IV DGKs. Human DGK-θ (110 kDa) contains 3 cysteine-rich domains and a PH domain and is classified as a type V DGK.
Specifications
| DGKI | |
| Polyclonal | |
| Unconjugated | |
| DGKI | |
| C130010K08Rik; DAG kinase iota; DGKI; DGK-iota; Diacylglycerol kinase iota; diacylglycerol kinase iota-3; diacylglycerol kinase, iota; Diglyceride kinase; diglyceride kinase iota; EC 2.7.1.107; rDGKi-3 | |
| Rabbit | |
| Affinity chromatography | |
| RUO | |
| 320127, 688705, 9162 | |
| -20°C | |
| Liquid |
| Immunohistochemistry (Paraffin), Western Blot, Immunocytochemistry | |
| 1 mg/mL | |
| PBS with 50% glycerol and 0.02% sodium azide; pH 7.4 | |
| O75912 | |
| DGKI | |
| A synthesized peptide derived from human DGKI(Accession O75912), corresponding to amino acid residues A1003-Y1053. | |
| 100 μL | |
| Primary | |
| Human, Mouse, Rat | |
| Antibody | |
| IgG |
Product Content Correction
Your input is important to us. Please complete this form to provide feedback related to the content on this product.
Product Title
Spot an opportunity for improvement?Share a Content Correction