Promotional price valid on web orders only. Your contract pricing may differ. Interested in signing up for a dedicated account number?
Learn More
Learn More
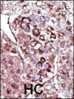
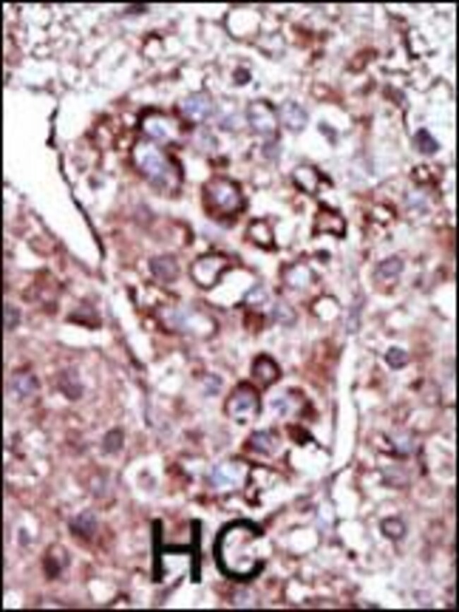
Invitrogen™ DGKZ Polyclonal Antibody

Rabbit Polyclonal Antibody
Supplier: Invitrogen™ PA515319
Description
DGKZ Polyclonal Antibody for Western Blot, ICC/IF, IHC (P)
The protein encoded by this gene belongs to the eukaryotic diacylglycerol kinase family. It may attenuate protein kinase C activity by regulating diacylglycerol levels in intracellular signaling cascade and signal transduction. Alternative splicing occurs at this locus and four transcript variants encoding distinct isoforms have been identified.
Specifications
| DGKZ | |
| Polyclonal | |
| Unconjugated | |
| DGKZ | |
| 104 kDa diacylglycerol kinase; DAG kinase DAGK6; DAG kinase zeta; DAGK5; DAGK6; DGK-IV; DGKZ; DGK-zeta; Diacylglycerol kinase zeta; diacylglycerol kinase, zeta 104kDa; Diglyceride kinase; diglyceride kinase zeta; E130307B02Rik; ENSMUSG00000075035; F730209L11Rik; hDGKzeta; mDGK[z] | |
| Rabbit | |
| Antigen affinity chromatography, Protein A | |
| RUO | |
| 8525 | |
| Store at 4°C short term. For long term storage, store at -20°C, avoiding freeze/thaw cycles. | |
| Liquid |
| Immunohistochemistry (Paraffin), Western Blot, Immunocytochemistry | |
| 0.45 mg/mL | |
| PBS with 0.09% sodium azide; pH 7.4 | |
| Q13574 | |
| DGKZ | |
| KLH conjugated synthetic peptide between 989-1019 amino acids from the C-terminal region of human DGKZ. | |
| 400 μL | |
| Primary | |
| Human | |
| Antibody | |
| IgG |
Product Content Correction
Your input is important to us. Please complete this form to provide feedback related to the content on this product.
Product Title
Spot an opportunity for improvement?Share a Content Correction