Promotional price valid on web orders only. Your contract pricing may differ. Interested in signing up for a dedicated account number?
Learn More
Learn More
DHRS3 Polyclonal Antibody

DHRS3 Polyclonal Antibody
Supplier: Thermo Scientific PA5106292
Description
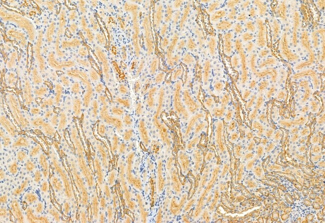
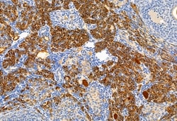
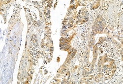
DHRS3 Polyclonal Antibody for Western Blot, IHC (P)
Specifications
| DHRS3 | |
| Polyclonal | |
| Unconjugated | |
| Dhrs3 | |
| DD83.1; dehydrogenase/reductase (SDR family) member 3; dehydrogenase/reductase 3; dehydrogenase/reductase member 3; Dhrs3; RDH17; retinal dehydrogenase/reductase family member 3; retinal short-chain dehydrogenase/reductase 1; Retinol dehydrogenase 17; retSDR1; Rsdr1; SDR1; SDR16C1; Short chain dehydrogenase/reductase family 16C member 1; short chain dehydrogenase/reductase family 16C, member 1; short-chain dehydrogenase/reductase 1; short-chain dehydrogenase/reductase 3; UNQ2424/PRO4983 | |
| Rabbit | |
| Affinity Chromatography | |
| RUO | |
| 20148, 313689, 9249 | |
| -20°C | |
| Liquid |
| Immunohistochemistry (Paraffin), Western Blot | |
| 1 mg/mL | |
| PBS with 50% glycerol and 0.02% sodium azide; pH 7.4 | |
| O75911, O88876 | |
| Dhrs3 | |
| A synthesized peptide derived from human DHRS3(Accession O75911), corresponding to amino acid residues A59-A109. | |
| 100 μL | |
| Primary | |
| Human, Mouse, Rat | |
| Antibody | |
| IgG |
Safety and Handling
WARNING: Cancer - www.P65Warnings.ca.gov
Product Content Correction
Your input is important to us. Please complete this form to provide feedback related to the content on this product.
Product Title
Spot an opportunity for improvement?Share a Content Correction