Promotional price valid on web orders only. Your contract pricing may differ. Interested in signing up for a dedicated account number?
Learn More
Learn More
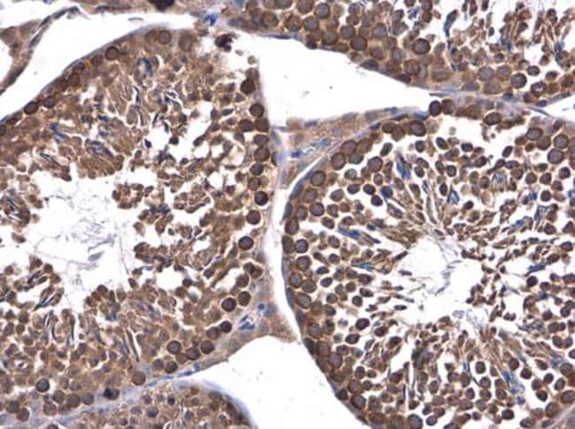
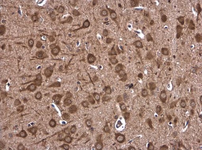
Invitrogen™ DHX36 Polyclonal Antibody

Rabbit Polyclonal Antibody
Supplier: Invitrogen™ PA578644
Description
Positive Control: 293T, A431, HeLa, HepG2 Predicted reactivity: Mouse (82%), Rat (80%). Store product as a concentrated solution. Centrifuge briefly prior to opening the vial.
DEAD box proteins, characterized by the conserved motif Asp-Glu-Ala-Asp, are putative RNA helicases implicated in several cellular processes involving modifications of RNA secondary structure. DHX36 (DEAH box protein 36), also known as MLE-like protein 1 and RNA helicase associated with AU-rich element ARE (RHAU), belongs to RNA helicase of the DEAH family and may function in sex development and spermatogenesis. It is expressed in testis and is evolutionary conserved with true orthologs in almost all animal species. DHX36 plays a role in degradation and deadenylation of mRNAs containing in their 3'-UTR the consensus ARE sequence element. DHX36 is required for early embryogenesis.
Specifications
DHX36 | |
Polyclonal | |
Unconjugated | |
DHX36 | |
2810407E23Rik; AI452301; Asp-Glu-Ala-His; ATP-dependent DNA/RNA helicase DHX36; ATP-dependent RNA helicase DHX36; AU022184; Ddx36; DEAD/H (Asp-Glu-Ala-Asp/His) box polypeptide 36; DEAD/H box polypeptide 36; DEAH (Asp-Glu-Ala-His) box polypeptide 36; DEAH box protein 36; DEAH-box helicase 36; DEAH-box protein 36; DHX36; G4 resolvase-1; G4R1; G4-resolvase 1; G4-resolvase-1; KIAA1488; mKIAA1488; Mlel1; MLE-like protein 1; probable ATP-dependent RNA helicase DHX36; RHAU; RNA helicase associated with AU-rich element ARE; RNA helicase associated with AU-rich element protein | |
Rabbit | |
Antigen Affinity Chromatography | |
RUO | |
170506, 310461, 72162 | |
Store at 4°C short term. For long term storage, store at -20°C, avoiding freeze/thaw cycles. | |
Liquid |
Immunohistochemistry (Paraffin), Western Blot | |
0.6 mg/mL | |
PBS with 20% glycerol and 0.025% ProClin 300; pH 7 | |
Q8VHK9, Q9H2U1 | |
DHX36 | |
Recombinant protein encompassing a sequence within the N-terminus region of human DHX36. The exact sequence is proprietary. | |
100 μL | |
Primary | |
Human, Mouse, Rat | |
Antibody | |
IgG |
Safety and Handling
WARNING: Cancer - www.P65Warnings.ca.gov
Product Content Correction
Your input is important to us. Please complete this form to provide feedback related to the content on this product.
Product Title
Spot an opportunity for improvement?Share a Content Correction