Promotional price valid on web orders only. Your contract pricing may differ. Interested in signing up for a dedicated account number?
Learn More
Learn More
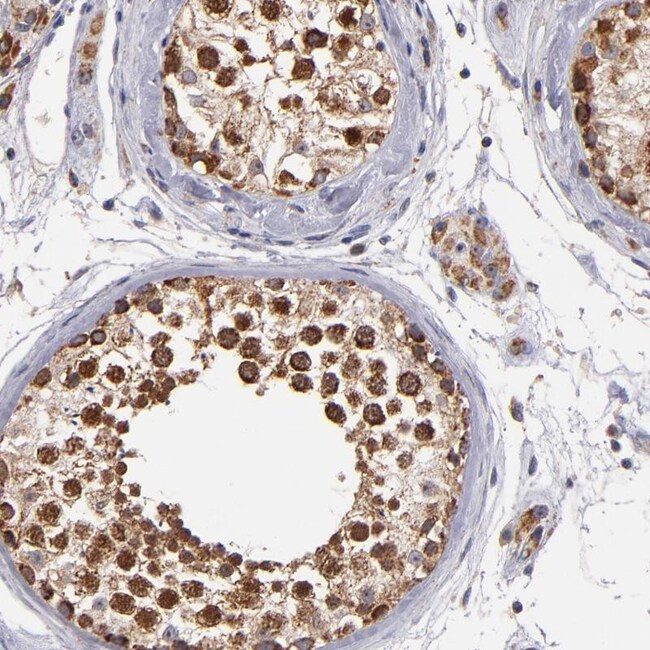
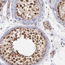
Invitrogen™ DIABLO Polyclonal Antibody

Rabbit Polyclonal Antibody
Supplier: Invitrogen™ PA5110645
Description
Immunogen sequence: AVYTLTSLYR QYTSLLGKMN SEEEDEVWQV IIGARAEMTS KHQEYLKLET TWMTAVGLSE MAAEAAYQTG ADQASITARN HIQLVKLQVE EVHQLSRKAE TKLAEAQIEE LRQKTQEEG.
DIABLO (smac), a mitochondrial protein, activates various forms of apoptosis. This activation may be due to the neutralization of one or more members of the IAP family of apoptosis inhibitory proteins. Smac exits the mitochondria and enter the cytosol during certain apoptosis triggered events. Mitochondrial-mediated apoptosis is important in animal development and tissue homeostasis, with alterations resulting in a range of malignant disorders. Upon apoptotic stimuli, the mitochondrial proteins cytochrome c and Smac/DIABLO are released into the cytosol. The release of these proteins, however, occurs via different mechanisms. Smac/DIABLO has also been found to play a key role in regulating the sensitization of cancer cells to apoptosis (both immune and drug-induced).
Specifications
| DIABLO | |
| Polyclonal | |
| PBS with 40% glycerol and 0.02% sodium azide; pH 7.2 | |
| Q9NR28 | |
| DIABLO | |
| Recombinant Protein corresonding to Human DIABLO. Recombinant protein control fragment (Product #RP-101900). | |
| 100 μL | |
| Primary | |
| Human | |
| Antibody | |
| IgG |
| Immunohistochemistry (Paraffin), Immunocytochemistry | |
| Unconjugated | |
| DIABLO | |
| 0610041G12Rik; 1700006L01Rik; AU040403; DFNA64; DIABLO; diablo homolog (Drosophila); diablo homolog, mitochondrial; diablo IAP-binding mitochondrial protein; diablo, IAP-binding mitochondrial protein; diablo-like protein; DIABLO-S; direct IAP binding protein with low PI; direct IAP-binding protein with low pI; FLJ10537; FLJ25049; hCG_1782202; Second mitochondria-derived activator of caspase; Smac; Smac protein; SMAC3 | |
| Rabbit | |
| Antigen affinity chromatography | |
| RUO | |
| 56616 | |
| Store at 4°C short term. For long term storage, store at -20°C, avoiding freeze/thaw cycles. | |
| Liquid |
Product Content Correction
Your input is important to us. Please complete this form to provide feedback related to the content on this product.
Product Title
Spot an opportunity for improvement?Share a Content Correction