Promotional price valid on web orders only. Your contract pricing may differ. Interested in signing up for a dedicated account number?
Learn More
Learn More
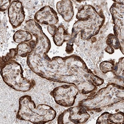
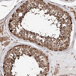
Invitrogen™ DNAH8 Polyclonal Antibody

Rabbit Polyclonal Antibody
Supplier: Invitrogen™ PA555857
Description
Immunogen sequence: ILNHKSKHVE EAVRELISIF EQIYEVKYTG KVGKQSEQRK HVVFGSETEE GENNDYEANI VNEFDTHDKE DEFKKECKEV FAFFSHQLLD SLQKATRLSL D Highest antigen sequence identity to the following orthologs: Mouse - 78%, Rat - 75%.
Specifications
| DNAH8 | |
| Polyclonal | |
| Unconjugated | |
| DNAH8 | |
| ATPase; Axonemal beta dynein heavy chain 8; ciliary dynein heavy chain 8; DNAH8; dynein axonemal heavy chain 8; dynein heavy chain 8, axonemal; dynein, axonemal, heavy chain 8; dynein, axonemal, heavy polypeptide 8; hdhc9 | |
| Rabbit | |
| Antigen affinity chromatography | |
| RUO | |
| 1769 | |
| Store at 4°C short term. For long term storage, store at -20°C, avoiding freeze/thaw cycles. | |
| Liquid |
| Immunohistochemistry (Paraffin) | |
| 0.2 mg/mL | |
| PBS with 40% glycerol and 0.02% sodium azide; pH 7.2 | |
| Q96JB1 | |
| DNAH8 | |
| Recombinant protein corresponding to Human DNAH8. Recombinant protein control fragment (Product #RP-94804). | |
| 100 μL | |
| Primary | |
| Human | |
| Antibody | |
| IgG |
Safety and Handling
WARNING: Cancer - www.P65Warnings.ca.gov
Product Content Correction
Your input is important to us. Please complete this form to provide feedback related to the content on this product.
Product Title
Spot an opportunity for improvement?Share a Content Correction