Promotional price valid on web orders only. Your contract pricing may differ. Interested in signing up for a dedicated account number?
Learn More
Learn More
DNAJB6 Mouse anti-Human, Mouse, Rat, Clone: OTI5B5, liquid, TrueMAB™

Mouse Monoclonal Antibody
Supplier: OriGene TA810677

Description
In prokaryotes, the heat shock response is characterized by the induction of several proteins including DnaJ, DnaK, GroEL and GroES. DnaK is a member of the HSP70 family, and like other members, exhibits ATPase activity which facilitates the release of bound proteins and disaggregation of protein complexes within the cell. Members of this protein group serve as molecular chaperones. Levels of DnaJ and DnaK are closely linked and, in E. coli, are constituents of a single operon. DnaJ regulates DnaK in several different systems. Relative to DnaK, the level of DnaJ synthesis is quite low. Studies have shown that DnaJ and DnaK, together with GrpE, cooperatively interact with firefly luciferase as it unfolds during thermal denaturation allowing renaturation of the protein upon return to normal temperatures. Also, DnaK together with DnaJ stimulates the binding of RepA initiator protein to the origin of P1 phage in vitro.Specifications
DNAJB6 | |
Monoclonal | |
Unconjugated | |
DNAJB6 | |
DJ4, DnaJ, HHDJ1, HSJ-2, HSJ2, LGMD1D, LGMD1E, MRJ, MSJ-1 | |
Mouse | |
Affinity Chromatography | |
RUO | |
10049, 23950, 362293 | |
-20° C, Avoid Freeze/Thaw Cycles | |
Liquid |
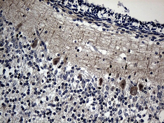
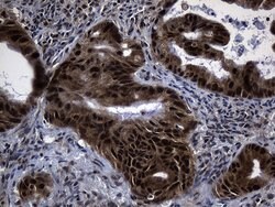
Immunohistochemistry (Paraffin), Western Blot | |
OTI5B5 | |
PBS with 1% BSA, 50% glycerol and 0.02% sodium azide | |
O54946, O75190, Q6AYU3 | |
Dnajb6 | |
Full length human recombit protein of human DNAJB6 produced in HEK293T. | |
100 μL | |
Primary | |
Human, Mouse, Rat | |
Antibody | |
IgG2b |
Product Content Correction
The Fisher Scientific Encompass Program offers items which are not part of our distribution portfolio. These products typically do not have pictures or detailed descriptions. However, we are committed to improving your shopping experience. Please use the form below to provide feedback related to the content on this product.
Product Title
Spot an opportunity for improvement?Share a Content Correction