Promotional price valid on web orders only. Your contract pricing may differ. Interested in signing up for a dedicated account number?
Learn More
Learn More
Invitrogen™ DNase I Polyclonal Antibody
Rabbit Polyclonal Antibody
Supplier: Invitrogen™ PA5122030
This item is not returnable.
View return policy
Description
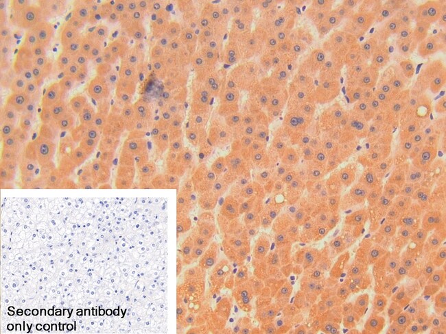
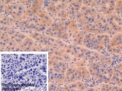
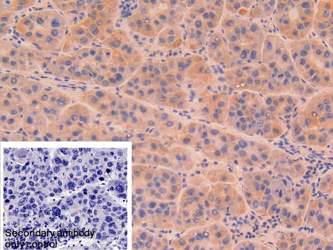
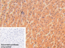
DNase I Polyclonal Antibody for Western Blot, IHC (P)
Internucleosomal DNA fragmentation following the activation of endonucleases is the common end point of apoptosis. DNase I, a Ca2+/Mg2+-dependent endonuclease ubiquitously expressed in mammalian tissues, has been implicated to mediate internucleosomal DNA degradation in human cells undergoing apoptosis. DNase I is highly polymorphic, and at least six alleles of DNase I are known. DNase II, the ubiquitously expressed acidic deoxyribonuclease, acts downstream of caspase activation and may also induce DNA digestion during apoptosis. DNase I cleaves DNA to 5'-phosphodinucleotide and 5'-phospho- oligonucleotide end-products, whereas DNase II cleaves DNA to 3'-phosphomononucleotide and 3'-phosphooligonucleotide end-products. The mechanism by which DNase II cuts DNA is similar to DNase I, which produces nicks rather than double-strand cuts. DNase II is usually present in cytoplasm of epithelial cells, but it appears concentrated in the nuclei of lens fibers. In contrast, DNase I is always concentrated in nuclei of epithelial and fiber cells.
Specifications
DNase I | |
Polyclonal | |
Unconjugated | |
DNASE1 | |
AI788650; deoxyribonuclease; Deoxyribonuclease 1; deoxyribonuclease I; Deoxyribonuclease1; Deoxyribonuclease-1; DeoxyribonucleaseI; DNASE 1; DNase I; DNase I lysosomal; DNase I, lysosomal; Dnase1; DNaseI; DNL 1; DNL1; Dornase alfa; DRNI; epithelial lens deoxyribonuclease I; FLJ38093; human urine deoxyribonuclease I; pancreatic deoxyribonuclease I | |
Rabbit | |
Antigen affinity chromatography, Protein A | |
RUO | |
13419, 1773 | |
Store at 4°C short term. For long term storage, store at -20°C, avoiding freeze/thaw cycles. | |
Liquid |
Immunohistochemistry (Paraffin), Western Blot, Western Blot | |
1 mg/mL | |
PBS with 50% glycerol and 0.05% ProClin 300; pH 7.4 | |
P24855, P49183 | |
DNASE1 | |
Recombinant protein Deoxyribonuclease I. The antigen corresponds to amino acid range 19-259 of the target protein. | |
20 μL | |
Primary | |
Human, Mouse | |
Antibody | |
IgG |
Product Content Correction
Your input is important to us. Please complete this form to provide feedback related to the content on this product.
Product Title
Spot an opportunity for improvement?Share a Content Correction