Promotional price valid on web orders only. Your contract pricing may differ. Interested in signing up for a dedicated account number?
Learn More
Learn More
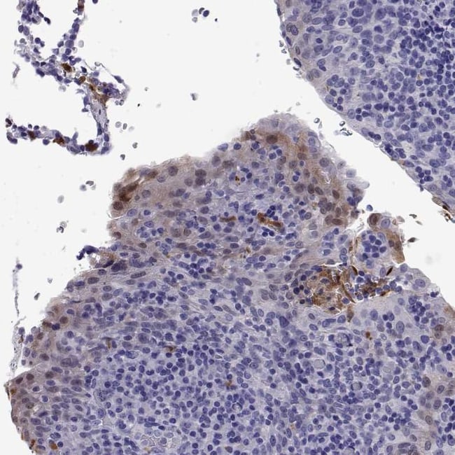
Invitrogen™ DOK5 Polyclonal Antibody

Rabbit Polyclonal Antibody
Supplier: Invitrogen™ PA5111597
Description
Immunogen sequence: EQHERLLQSV KNSMLQMKMS ERAASLSTMV PLPRSAY.
The protein encoded by this gene is a member of the DOK family of membrane proteins, which are adapter proteins involved in signal transduction. The encoded protein interacts with phosphorylated receptor tyrosine kinases to mediate neurite outgrowth and activation of the MAP kinase pathway. In contrast to other DOK family proteins, this protein does not interact with RASGAP.
Specifications
| DOK5 | |
| Polyclonal | |
| PBS with 40% glycerol and 0.02% sodium azide; pH 7.2 | |
| Q9P104 | |
| DOK5 | |
| Recombinant Protein corresonding to Human DOK5. Recombinant protein control fragment (Product #RP-103590). | |
| 100 μL | |
| Primary | |
| Human | |
| Antibody | |
| IgG |
| Immunohistochemistry (Paraffin) | |
| Unconjugated | |
| DOK5 | |
| 2700055C10Rik; C20orf180; Docking protein 5; Dok5; Downstream of tyrosine kinase 5; insulin receptor substrate 6; IRS6; IRS-6; MGC16926; Protein dok-5; RGD1562846 | |
| Rabbit | |
| Antigen affinity chromatography | |
| RUO | |
| 55816 | |
| Store at 4°C short term. For long term storage, store at -20°C, avoiding freeze/thaw cycles. | |
| Liquid |
Safety and Handling
WARNING: Cancer - www.P65Warnings.ca.gov
Product Content Correction
Your input is important to us. Please complete this form to provide feedback related to the content on this product.
Product Title
Spot an opportunity for improvement?Share a Content Correction