Promotional price valid on web orders only. Your contract pricing may differ. Interested in signing up for a dedicated account number?
Learn More
Learn More
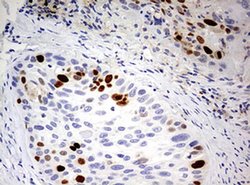
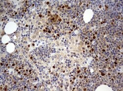
TOP2A Monoclonal Antibody (OTI9E1), TrueMAB™, OriGene

Mouse Monoclonal Antibody
Supplier: OriGene TA802499

Description
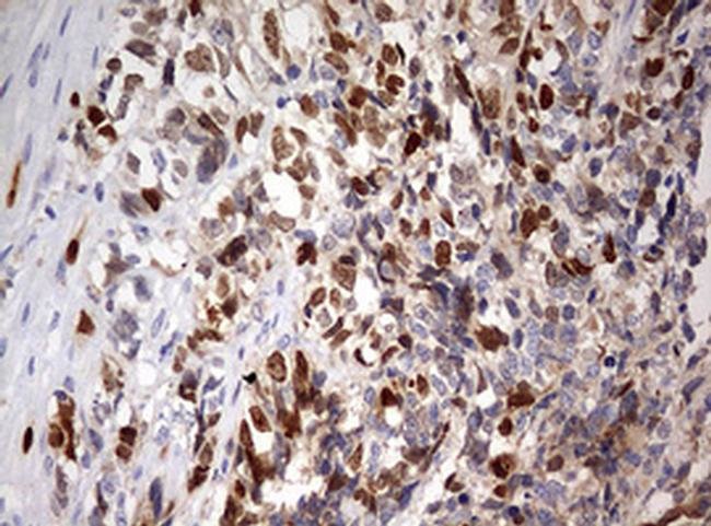
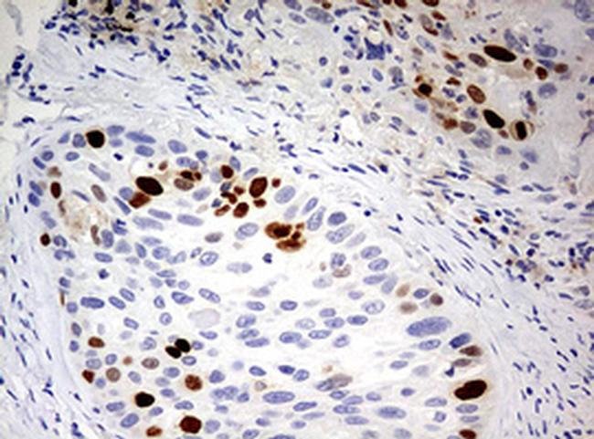
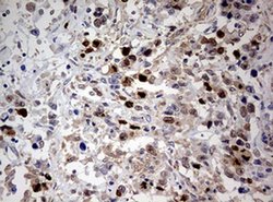
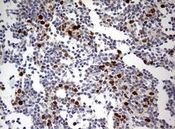
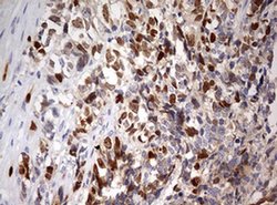
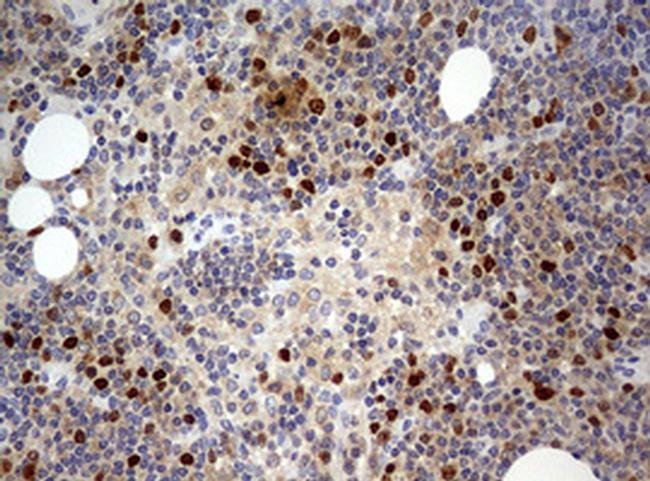
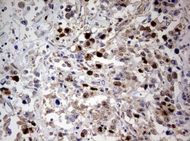
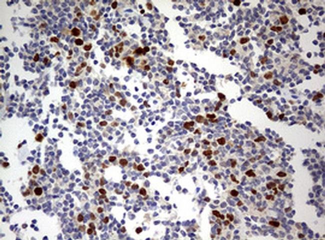
Topo II alpha plays important roles in synthesis and transcription of DNA as well as chromosomal segregation during mitosis. It is reported to be a sensitive and specific marker of late S-, G2- & M-phases in transformed and developmentally regulated normal cellsTopo II alpha is also implicated in drug resistance of tumor cells.Specifications
TOP2A | |
Monoclonal | |
1 mg/mL | |
PBS with 1% BSA, 50% glycerol and 0.02% sodium azide | |
P11388 | |
TOP2A | |
Human recombit protein fragment corresponding to amino acids 1100-1531 of human TOP2A produced in E.coli. | |
100 μL | |
Primary | |
Human | |
Antibody | |
IgG1 |
Western Blot | |
OTI9E1 | |
Unconjugated | |
TOP2A | |
TOP2, TP2A | |
Mouse | |
Affinity Chromatography | |
RUO | |
7153 | |
-20° C, Avoid Freeze/Thaw Cycles | |
Liquid |
Product Content Correction
The Fisher Scientific Encompass Program offers items which are not part of our distribution portfolio. These products typically do not have pictures or detailed descriptions. However, we are committed to improving your shopping experience. Please use the form below to provide feedback related to the content on this product.
Product Title
Spot an opportunity for improvement?Share a Content Correction