Promotional price valid on web orders only. Your contract pricing may differ. Interested in signing up for a dedicated account number?
Learn More
Learn More
Invitrogen™ DPF2 Polyclonal Antibody

Rabbit Polyclonal Antibody
Supplier: Invitrogen™ PA554274
Description
Immunogen sequence: SFPSIKPDTD QTLKKEGLIS QDGSSLEALL RTDPLEKRGA PDPRVDDDSL GEFPVTNSRA RKRILEPDDF LDDLDDEDYE EDTPKRRGKG KSKGKGVGS Highest antigen sequence identity to the following orthologs: Mouse - 96%, Rat - 98%.
The protein encoded by this gene is a member of the d4 domain family, characterized by a zinc finger-like structural motif. This protein functions as a transcription factor which is necessary for the apoptotic response following deprivation of survival factors. It likely serves a regulatory role in rapid hematopoietic cell growth and turnover. This gene is considered a candidate gene for multiple endocrine neoplasia type I, an inherited cancer syndrome involving multiple parathyroid, enteropancreatic, and pituitary tumors.
Specifications
DPF2 | |
Polyclonal | |
Unconjugated | |
Dpf2 | |
2210010M07Rik; apoptosis response zinc finger protein; BAF45D; BRG1-associated factor 45D; D4, zinc and double PHD fingers family 2; double PHD fingers 2; Dpf2; neuro-d4/requiem; protein requiem; Req; requiem; requiem, apoptosis response zinc finger; UBID4; ubi-d4; Zinc finger protein ubi-d4 | |
Rabbit | |
Antigen affinity chromatography | |
RUO | |
5977 | |
Store at 4°C short term. For long term storage, store at -20°C, avoiding freeze/thaw cycles. | |
Liquid |
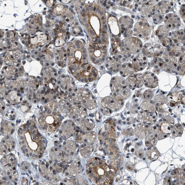
Immunohistochemistry (Paraffin), Western Blot, Immunocytochemistry | |
0.05 mg/mL | |
PBS with 40% glycerol and 0.02% sodium azide; pH 7.2 | |
Q92785 | |
Dpf2 | |
Recombinant protein corresponding to Human DPF2. Recombinant protein control fragment (Product #RP-91630). | |
100 μL | |
Primary | |
Human | |
Antibody | |
IgG |
Product Content Correction
Your input is important to us. Please complete this form to provide feedback related to the content on this product.
Product Title
Spot an opportunity for improvement?Share a Content Correction