Promotional price valid on web orders only. Your contract pricing may differ. Interested in signing up for a dedicated account number?
Learn More
Learn More
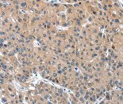
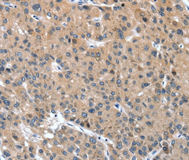
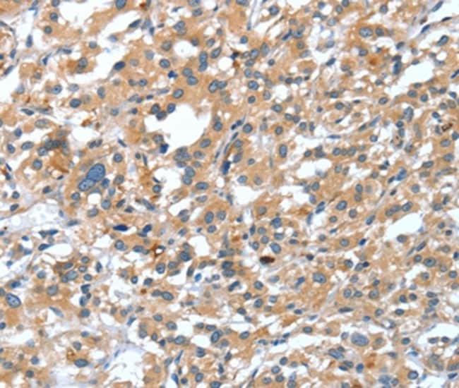
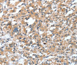
Invitrogen™ DSC1 Polyclonal Antibody

Rabbit Polyclonal Antibody
Supplier: Invitrogen™ PA550651
Description
The antibody detects endogenous levels of total DSC1 protein.
The desmosomal cadherin desmocollin DSC1 is expressed in upper epidermis where strong adhesion is required. DSC1 is a type I membrane protein (4) required for strong adhesion and barrier maintenance in epidermis and contributes to epidermal differentiation.The DSC1 gene comprises 17 exons spanning approximately 33 kb on 18q12.1.
Specifications
| DSC1 | |
| Polyclonal | |
| Unconjugated | |
| DSC1 | |
| 1110020A10Rik; AI507491; Cadherin family member 1; CDHF1; desmocollin 1; Desmocollin1; desmocollin-1; Desmosomal glycoprotein 2/3; DG2/DG3; DSC1; Dsc1a; Dsc1b | |
| Rabbit | |
| Antigen Affinity Chromatography | |
| RUO | |
| 1823 | |
| -20°C | |
| Liquid |
| Immunohistochemistry (Paraffin) | |
| 2.8 mg/mL | |
| PBS with 40% glycerol and 0.05% sodium azide; pH 7.4 | |
| Q08554 | |
| DSC1 | |
| Synthetic peptide corresponding to residues near the C terminal of human desmocollin 1. | |
| 100 μL | |
| Primary | |
| Human | |
| Antibody | |
| IgG |
Safety and Handling
WARNING: Cancer - www.P65Warnings.ca.gov
Product Content Correction
Your input is important to us. Please complete this form to provide feedback related to the content on this product.
Product Title
Spot an opportunity for improvement?Share a Content Correction