Learn More
Invitrogen™ DTNBP1 Polyclonal Antibody

Rabbit Polyclonal Antibody
Supplier: Invitrogen™ PA5119711
Description
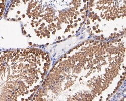
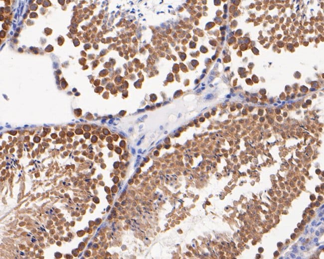
Positive Control: Daudi cell lysate, MCF-7 cell lysate, HL-60 cell lysate, human spleen tissue, mouse testis tissue, MCF-7. Subcellular Location: Cell junction, Cell membrane, Cytoplasm, Cytoplasmic vesicle, Endoplasmic reticulum, Endosome, Membrane, Nucleus, Postsynaptic cell membrane, Synapse.
Dtnbp1 may play a role in organelle biogenesis associated with melanosomes, platelet dense granules, and lysosomes. A similar protein in mouse is a component of a protein complex termed biogenesis of lysosome-related organelles complex 1 (BLOC-1), and binds to alpha- and beta-dystrobrevins, which are components of the dystrophin-associated protein complex (DPC). Mutations are associated with Hermansky-Pudlak syndrome type 7. This protein may also be associated with schizophrenia.
Specifications
| DTNBP1 | |
| Polyclonal | |
| Unconjugated | |
| DTNBP1 | |
| 5430437B18Rik; AW048963; biogenesis of lysosomal organelles complex-1, subunit 8; biogenesis of lysosome-related organelles complex 1 subunit 8; BLOC-1 subunit 8; Bloc1s8; DBND; distrobrevin binding protein 1; DKFZp564K192; DTBP1; Dtnbp1; Dysbindin; dysbindin-1; dystrobrevin binding protein 1; dystrobrevin-binding protein 1; FLJ30031; Hermansky-Pudlak syndrome 7 protein; hermansky-Pudlak syndrome 7 protein homolog; HPS7; HPS7 protein; HPS7 protein homolog; Hps7-like protein; MGC20210; My031; OTTHUMP00000221462; OTTHUMP00000221485; RP1-147M19.1; sandy; sdy | |
| Rabbit | |
| Antigen Affinity Chromatography | |
| RUO | |
| 84062, 94245 | |
| Store at 4°C short term. For long term storage, store at -20°C, avoiding freeze/thaw cycles. | |
| Liquid |
| Flow Cytometry, Immunohistochemistry (Paraffin), Western Blot | |
| 1 mg/mL | |
| TBS with 50% glycerol and 0.05% sodium azide; pH 7.4 | |
| Q91WZ8, Q96EV8 | |
| DTNBP1 | |
| Recombinant protein within human Dysbindin aa 150-351. | |
| 100 μL | |
| Primary | |
| Human, Mouse | |
| Antibody | |
| IgG |
Your input is important to us. Please complete this form to provide feedback related to the content on this product.