Learn More
Invitrogen™ DVL3 Polyclonal Antibody

Description
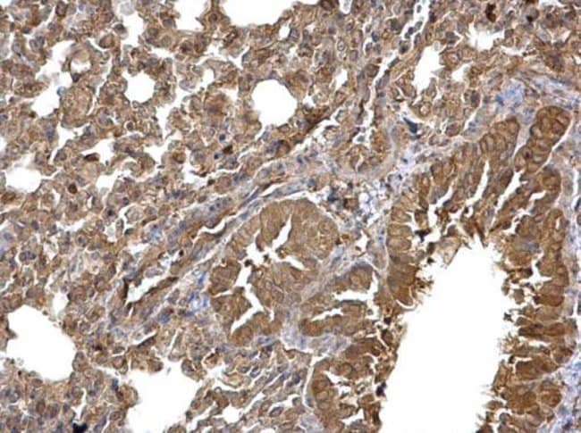
Recommended positive controls: HCT116. Predicted reactivity: Mouse (97%). Store product as a concentrated solution. Centrifuge briefly prior to opening the vial.
Specifications
Specifications
| Antigen | DVL3 |
| Applications | Immunohistochemistry (Frozen), Immunohistochemistry (Paraffin), Immunoprecipitation, Western Blot, Immunocytochemistry |
| Classification | Polyclonal |
| Concentration | 0.99 mg/mL |
| Conjugate | Unconjugated |
| Formulation | 0.1M tris glycine with 10% glycerol and 0.01% thimerosal; pH 7 |
| Gene | DVL3 |
| Gene Accession No. | Q61062, Q92997 |
| Gene Alias | dishevelled 3 (homologous to Drosophila dsh); dishevelled 3, dsh homolog; dishevelled 3, dsh homolog (Drosophila); dishevelled segment polarity protein 3; dishevelled, dsh homolog 3; dishevelled-3; DRS3; DSH homolog 3; DVL3; dvl-3; I79_017820; KIAA0208; OTTHUMP00000210778; Segment polarity protein dishevelled homolog DVL-3; Segment polarity protein dishevelled-like DVL-3 |
| Gene Symbols | DVL3 |
| Show More |
By clicking Submit, you acknowledge that you may be contacted by Fisher Scientific in regards to the feedback you have provided in this form. We will not share your information for any other purposes. All contact information provided shall also be maintained in accordance with our Privacy Policy.