Promotional price valid on web orders only. Your contract pricing may differ. Interested in signing up for a dedicated account number?
Learn More
Learn More
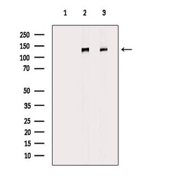
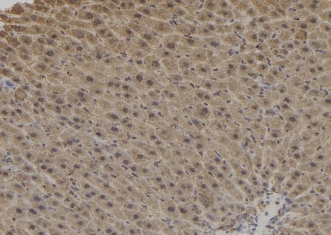
Invitrogen™ Dynactin 1 Polyclonal Antibody

Rabbit Polyclonal Antibody
Supplier: Invitrogen™ PA5106892
Description
Antibody detects endogenous levels of total DCTN1.
This gene encodes the largest subunit of dynactin, a macromolecular complex consisting of 10 subunits ranging in size from 22 to 150 kD. Dynactin binds to both microtubules and cytoplasmic dynein. Dynactin is involved in a diverse array of cellular functions, including ER-to-Golgi transport, the centripetal movement of lysosomes and endosomes, spindle formation, chromosome movement, nuclear positioning, and axonogenesis. This subunit interacts with dynein intermediate chain by its domains directly binding to dynein and binds to microtubules via a highly conserved glycine-rich cytoskeleton-associated protein (CAP-Gly) domain in its N-terminus. Alternative splicing of this gene results in multiple transcript variants encoding distinct isoforms. Mutations in this gene cause distal hereditary motor neuronopathy type VIIB (HMN7B) which is also known as distal spinal and bulbar muscular atrophy (dSBMA).
Specifications
| Dynactin 1 | |
| Polyclonal | |
| Unconjugated | |
| DCTN1 | |
| 150 kDa dynein-associated polypeptide; AL022633; DAP 150; DAP150; DAP-150; DCTN 1; DCTN1; DP 150; DP150; DP-150; dynactin 1; dynactin 1 (p150, glued homolog, Drosophila); dynactin 1, retrograde axonal transport; dynactin subunit 1; Dynactin1; Glued; HMN7B; OTTHUMP00000202491; p135; p150; p150 glued; p150 glued homolog; p150>glued>; p150glued; p150-glued | |
| Rabbit | |
| Affinity Chromatography | |
| RUO | |
| 13191, 1639, 29167 | |
| -20°C | |
| Liquid |
| Immunohistochemistry (Paraffin), Western Blot, Immunocytochemistry | |
| 1 mg/mL | |
| PBS with 50% glycerol and 0.02% sodium azide; pH 7.4 | |
| O08788, P28023, Q14203 | |
| DCTN1 | |
| A synthesized peptide derived from human DCTN1(Accession Q14203), corresponding to amino acid residues G1246-S1278. | |
| 100 μL | |
| Primary | |
| Human, Mouse, Rat | |
| Antibody | |
| IgG |
Safety and Handling
WARNING: Cancer - www.P65Warnings.ca.gov
Product Content Correction
Your input is important to us. Please complete this form to provide feedback related to the content on this product.
Product Title
Spot an opportunity for improvement?Share a Content Correction