Learn More
Invitrogen™ DYNC1I1 Polyclonal Antibody

Rabbit Polyclonal Antibody
Supplier: Invitrogen™ PA5116993
Description
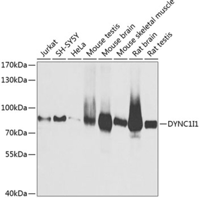
Positive Samples: Jurkat, SH-SY5Y, HeLa, Mouse testis, Mouse brain, Mouse skeletal muscle, Rat brain, Rat testis Immunogen sequence: MSDKSDLKAE LERKKQRLAQ IREEKKRKEE ERKKKEADMQ QKKEPVQDDS DLDRKRRETE ALLQSIGISP EPPLVPTPMS PSSKSVSTPS EAGSQDSGDL GPLTRTLQWD TDPSVLQLQS DSELGRRLHK LGVSKVTQVD FLPREVVSYS KETQTPLATH QSEEDEEDEE MVESKVGQDS ELENQDKKQE VKEAPPRELT EEEKQQILHS EEFLIFFDRT.
Acts as one of several non-catalytic accessory components of the cytoplasmic dynein 1 complex that are thought to be involved in linking dynein to cargos and to adapter proteins that regulate dynein function. Cytoplasmic dynein 1 acts as a motor for the intracellular retrograde motility of vesicles and organelles along microtubules. The intermediate chains mediate the binding of dynein to dynactin via its 150 kDa component (p150-glued) DCNT1. May play a role in mediating the interaction of cytoplasmic dynein with membranous organelles and kinetochores.
Specifications
| DYNC1I1 | |
| Polyclonal | |
| Unconjugated | |
| DYNC1I1 | |
| Cytoplasmic dynein 1 intermediate chain 1; cytoplasmic dynein intermediate chain 1; cytoplasmic dynein intermediate chain 1 isoform 1.6; DH IC-1; DHIC-1; DIC; Dnci 1; DNCI1; Dncic1; Dync1i1; dynein cytoplasmic 1 intermediate chain 1; dynein intermediate chain 1, cytosolic; Dynein intermediate chain 1, cytosolic (DH IC-1) (Cytoplasmic dynein intermediate chain 1); dynein, cytoplasmic 1, intermediate chain 1; dynein, cytoplasmic, intermediate chain 1; dynein, cytoplasmic, intermediate polypeptide 1; IC74 | |
| Rabbit | |
| Affinity Chromatography | |
| RUO | |
| 13426, 1780, 29564 | |
| -20°C, Avoid Freeze/Thaw Cycles | |
| Liquid |
| ELISA, Immunohistochemistry (Paraffin), Western Blot | |
| 0.5 mg/mL | |
| PBS with 50% glycerol and 0.02% sodium azide; pH 7.3 | |
| O14576, O88485, Q63100 | |
| DYNC1I1 | |
| Recombinant fusion protein containing a sequence corresponding to amino acids 1-220 of human DYNC1I1 (NP_0011290281). | |
| 100 μL | |
| Primary | |
| Human, Mouse, Rat | |
| Antibody | |
| IgG |
Safety and Handling
Your input is important to us. Please complete this form to provide feedback related to the content on this product.