Promotional price valid on web orders only. Your contract pricing may differ. Interested in signing up for a dedicated account number?
Learn More
Learn More
Invitrogen™ DYRK1A Polyclonal Antibody

Rabbit Polyclonal Antibody
Supplier: Invitrogen™ PA5110799
Description
Immunogen sequence: VRQQFPAPLG WSGTEAPTQV TVETHPVQET TFHVAPQQNA LHHHHGNSSH HHHHHHHHHH HHGQQALGNR TRPRVYNSPT NSSSTQDSME VGHSHHSMTS LSSSTTSSST SSSSTG.
DYRK1A is a dual specificity kinase involved in cell proliferation. The gene for DYRK1A is located in the Down syndrome critical region of chromosome 21, and has been implicated in the pathogenesis of this disease. DYRK1A catalyzes the transition of 3-phosphoglycerate into 3-phosphohydroxypyruvate, which is the first and rate-limiting step in the phosphorylated pathway of serine biosynthesis, using NAD+/NADH as a cofactor.
Specifications
| DYRK1A | |
| Polyclonal | |
| Unconjugated | |
| DYRK1A | |
| 2310043O08Rik; D16Ertd272e; D16Ertd493e; dual specificity tyrosine phosphorylation regulated kinase 1A; dual specificity tyrosine-(Y)-phosphorylation regulated kinase 1A; dual specificity tyrosine-phosphorylation-regulated kinase 1A; Dual specificity YAK1-related kinase; dual-specificity tyrosine-(Y)-phosphorylation regulated kinase 1a; Dyrk; DYRK1; Dyrk1a; ENSMUSG00000074897; Gm10783; hMNB; HP86; mmb; MNB; mnb protein kinase homolog hp86; MNB/DYRK protein kinase; MNBH; MP86; MRD7; OTTHUMP00000109090; Protein kinase minibrain homolog; PSK47; RP86; serine/threonine kinase MNB; serine/threonine-specific protein kinase | |
| Rabbit | |
| Antigen affinity chromatography | |
| RUO | |
| 1859 | |
| Store at 4°C short term. For long term storage, store at -20°C, avoiding freeze/thaw cycles. | |
| Liquid |
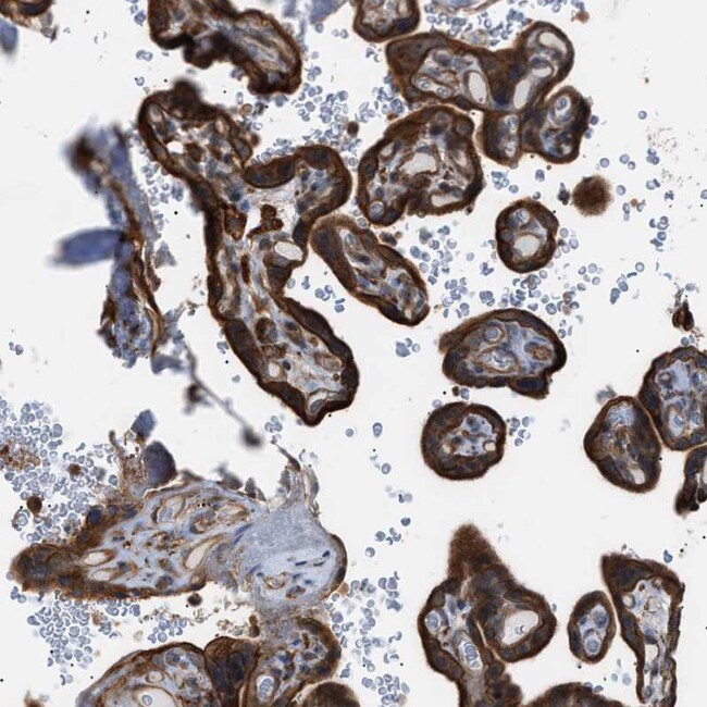
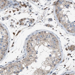
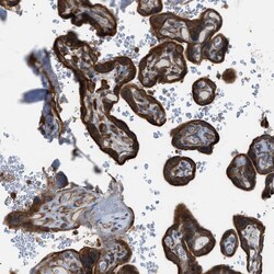
| Immunohistochemistry (Paraffin), Immunoprecipitation, Western Blot | |
| 0.10 mg/mL | |
| PBS with 40% glycerol and 0.02% sodium azide; pH 7.2 | |
| Q13627 | |
| DYRK1A | |
| Recombinant Protein corresonding to Human DYRK1A. Recombinant protein control fragment (Product #RP-91462). | |
| 100 μL | |
| Primary | |
| Human | |
| Antibody | |
| IgG |
Product Content Correction
Your input is important to us. Please complete this form to provide feedback related to the content on this product.
Product Title
Spot an opportunity for improvement?Share a Content Correction